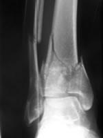
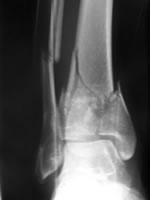
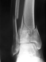
심한 axial loading 이 가해지면, calcaneus fracture 와 처럼 발목에도 골절이 생기게 됩니다. (대부분 추락, 혹은 오토바이사고)


이러한 Pilon fracture 를 치료할 때 가장 중요한 5가지 원칙은 다음과 같습니다.
1. 비골길이 회복
2. 경골 관절면 정복
3. 골간단부 골이식
4. 경골 내측 buttress plate
5. 빠른 ROM exercise
경골의 관절면이 정복하기가 매우 어렵기 때문에 그나마 쉬운 비골길이를 먼저 맞춰서 정복의 기준으로 삼는 원리입니다.

앞쪽의 경우 Chaput, 가쪽(lateral)의 경우 Wagstaffe, 뒤쪽의 경우 Volkmann fragment로 명명하며, medial malleolus가 추가로 있을 수 있습니다.
교정의 순서는 PL, AL, Center, med fragment 순서로 뒤쪽에서 lat 차례대로 진행합니다.
'외상' 카테고리의 다른 글
| [전문] 장관골의 골절시에 사용 할 수 있는 골수내정금속고정술, dynamization technique (0) | 2021.01.13 |
|---|---|
| [전문] 조각난 뼈를 고정할때 사용하는 '골편간 고정(interfragmentary fixation)' 방법 (0) | 2020.12.17 |
| [전문] 정형외과의 모스부호! 'AO/OTA classification(2018)' 배워봅시다. (0) | 2020.07.20 |
| [전문] 뼈가 안붙거나 이상하게 붙었어요! '지연유합, 불유합, 부정유합' (0) | 2020.07.16 |
| [전문] 피부를 안열고도 뼈를 낫게 할 수 있는 '외고정기' (0) | 2020.07.15 |
댓글