기다란 뼈를 장관골이라고 하는데, 이러한 긴 뼈는 우리몸에 여러군데 있습니다. 장관골은 뼈 안이 비어있는 공간(골수강)으로 되어있기 때문에

장관골 직경 사이즈에 맞춰서 금속이 들어갈 수 있습니다. 상완골, 대퇴골, 경골에 '골수정 고정술'을 시행해 볼 수 있습니다.


이전에 작성한 내용처럼, 뼈의 경우 압박력을 받는 경우 골생성이 많아지게 됩니다. (Wolff's law 에서도 압박력이 높은쪽 골생성이 증가하게 되죠) 금속판으로 고정하는 원리가 다양하게 있던 것 처럼 nail역시 bending 과 rotation force 에 강하게 저항하게 되지만 axial roading 에는 약하게 됩니다. 오히려 이 약한 것을 이용해서 골유합이 잘 되지 않는 불유합이나 지연유합 있는 경우 장점이 될 수 있습니다.
2020/07/16 - [외상] - [전문] 뼈가 안붙거나 이상하게 붙었어요! '지연유합, 불유합, 부정유합'
[전문] 뼈가 안붙거나 이상하게 붙었어요! '지연유합, 불유합, 부정유합'
2020/05/28 - [외상] - [전문] 뼈가 부러졌어요! 수술을 하는 이유를 알아봅시다. [전문] 뼈가 부러졌어요! 수술을 하는 이유를 알아봅시다. 우리 인간의 뼈는 수산화인회석이라고 하는 인산칼슘으로
docson.tistory.com
IM nail은 당연히 직경이 클수록 안정성이 높아집니다. (4제곱) 뼈와 만나는 부분이 많을 수록 안정성이 높으며 나사가 골절사이와의 길이가 짧을 수록 stiffness 가 강합니다. (bending 은 제곱에 반비례, torsion 은 반비례)




Nail의 구멍에 따라 타원형의 구멍의 경우 dynamic 한 고정을 하게되며 이는 axial load 를 뼈에 그냥 전달하게 됩니다.
dynamization은 이러한 static screw를 제거함으로써 골 유합을 좀더 가져오게 되는 것입니다. (원위부의 경우 모두 나사를 제거하게되면 관절로 nail이 나올 수 있으니 주의해야합니다.) 이 외에도 골 유합을 위해 reaming 을 하는 것도 도움이 됩니다.


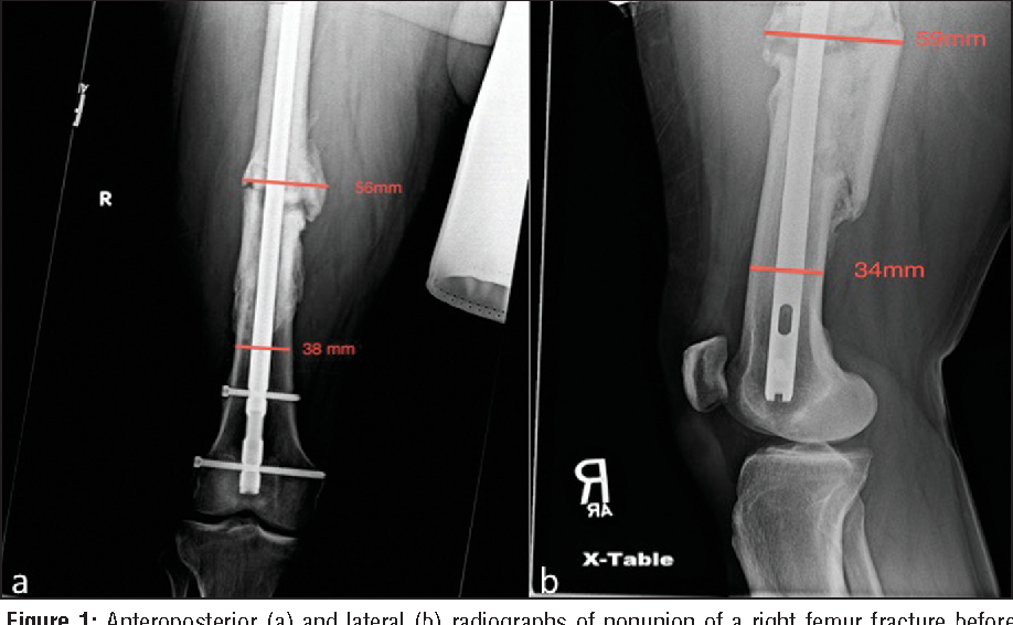
아래와 같은 nonunion에서 dynamization으로 골유합을 유도할 수 있습니다.

소아의 경우 flexible nail등을 사용해볼 수 있습니다.
대게 골절의 유합과 안정성이 회복된 이후에 금속정은 제거하게 됩니다. (경골 1년, 대퇴 2~3년, 상지의 경우는 원할경우 1년쯤 제거)
'외상' 카테고리의 다른 글
| 발목 관절의 관절내 골절 'Pilon fracture' (0) | 2021.01.25 |
|---|---|
| [전문] 조각난 뼈를 고정할때 사용하는 '골편간 고정(interfragmentary fixation)' 방법 (0) | 2020.12.17 |
| [전문] 정형외과의 모스부호! 'AO/OTA classification(2018)' 배워봅시다. (0) | 2020.07.20 |
| [전문] 뼈가 안붙거나 이상하게 붙었어요! '지연유합, 불유합, 부정유합' (0) | 2020.07.16 |
| [전문] 피부를 안열고도 뼈를 낫게 할 수 있는 '외고정기' (0) | 2020.07.15 |
댓글