

2020/05/28 - [외상] - [전문] 뼈가 부러졌어요! 수술을 하는 이유를 알아봅시다.
[전문] 뼈가 부러졌어요! 수술을 하는 이유를 알아봅시다.
우리 인간의 뼈는 수산화인회석이라고 하는 인산칼슘으로 대부분 이루어진 화합물 입니다. 당연히 이러한 화합물에, 큰 힘이 작용하게 되면 골절 이라는 상황을 맞게 됩니다. 골절은 개방성 골�
docson.tistory.com
제가 이전에 포스팅한 글과 같이 골절이 생기면 '유합' 이 이루어져야, 이전처럼 모양이나 기능을 유지하게 됩니다. 하지만 골유합이 잘 되지 않는 경우가 있습니다.
지연유합(Delayed Union)대게 3~6개월 동안 골유합의 진행이 없는 경우 를 의미합니다.
치료로는 석고나, 스플린트를 조금 더 기능적으로 움직이게 하여 골형성에 자극이 되도록 합니다. (상지의 경우 손가락이나 어깨 운동, 하지의 경우 체중을 실은 보행)
보존적인 치료를 4~12주 시행한 후 비수술이나 수술적 치료방법을 결정하게 됩니다.
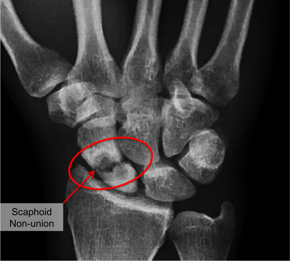
불유합(Nonunion)FDA(The U.S. Food and Drug Administration) 에서는 손상 후 최소 9개월이 경과한 상태에서 3개월 동안 골유합 진행 모습이 보이지 않을때 로 정의하고 있습니다. 예외적으로 장골에서는 최소한 6개월 경과 후 의심할 수 있으며, 혈류가 좋은 고관절 골절의 경우 3개월만으로도 진단이 가능합니다. 불유합은 위치나, 감염의 유무, 병인 등으로 나뉠 수 있는데 위치는 골단, 골간단, 골간 으로 나뉠 수 있습니다. 병인으로는 비후성 불유합(혈류는 적절하여 가골이 적절하게 생기나 stability 부족), 빈영양 불유합(적절한 혈류 + 가골 형성 거의 안됨), 위축성 불유합(혈류가 부적절) 등으로 나뉠 수 있습니다.


비후성의 경우 : stability 를 위한 단단한 고정만 추가적으로 하여도 유합이 진행되게 되며
위축성의 경우 : 피질제거술, 뼈이식, 단단한 고정을 모두 하여야 합니다.

변형이나 단축, 골손실 등으로 불유합이 생긴 경우 환형 외고정기인 일리자로프를 이용해 교정을 해볼 수도 있습니다.
2020/07/15 - [외상] - [전문] 피부를 안열고도 뼈를 낫게 할 수 있는 '외고정기'
[전문] 피부를 안열고도 뼈를 낫게 할 수 있는 '외고정기'
심한 골절 환자나, 특정 골절 환자들은 바깥에서 고정을 하는 '외고정기(EF: external fixator) 를 사용해서 뼈를 고정하기도 합니다. 밖에서 뼈를 고정하기 때문에 핀 부위의 감염의 가능성은 높아지�
docson.tistory.com

부정 유합은 부러진 뼈가 원래의 위치가 아닌 상태로 유합되어 각형성과 회전 변형이 생기는 것입니다. 따라서 미용상의 문제 및 기능 장애를 초래할 수 있습니다. 관절면의 부정 유합은 심각한 장애를 초래할 수 있습니다. 골절된 사지에 국소 종창이나 발적이 생길 수 있습니다.

도움이 많이 되셨길 바랍니다. :)
'외상' 카테고리의 다른 글
| [전문] 장관골의 골절시에 사용 할 수 있는 골수내정금속고정술, dynamization technique (0) | 2021.01.13 |
|---|---|
| [전문] 조각난 뼈를 고정할때 사용하는 '골편간 고정(interfragmentary fixation)' 방법 (0) | 2020.12.17 |
| [전문] 정형외과의 모스부호! 'AO/OTA classification(2018)' 배워봅시다. (0) | 2020.07.20 |
| [전문] 피부를 안열고도 뼈를 낫게 할 수 있는 '외고정기' (0) | 2020.07.15 |
| [전문] 뼈가 부러졌어요! 수술을 하는 이유를 알아봅시다. (0) | 2020.05.28 |
댓글