모든 사람의 척추가 곶으면 좋겠지만, 비대칭적인 척추를 가지고 많이 진료를 보러 옵니다. 성인이라면 크게 만곡이 진행될 가능성이 적기 때문에 증상이 없고, 작은 만곡을 갖고 있는 경우 경과관찰하는 경우가 많습니다. 하지만 10세 이하나, 10세 이후 성장기에는 이러한 만곡이 크게 진행될 수 있기 때문에 유의깊게 관찰해야합니다. 성장기 40-50도, 성인 50-60도 이상의 만곡은 수술적 치료를 필요로 합니다.
수술을 하지 않아도 될 정도라면 성장기에는 '보조기 치료' 가 핵심이 됩니다. T8 이상의 부위에 만곡이 있는 경우에는 위에까지 잡아줄 수 있는 밀워키 보호대 를 차야할 수도 있습니다.


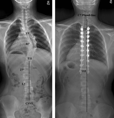
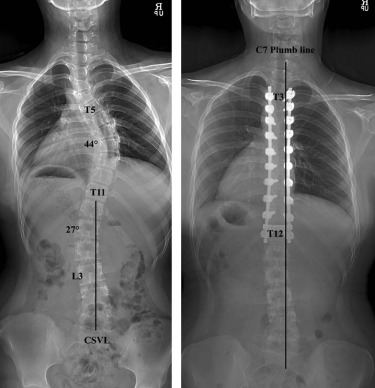
척추가 이렇게 휘게 되면 일상생활에 지장이 없는 경우는 많습니다. 하지만 만곡이 심해지는 경우 심폐합병증이 가장 치명적이고 무서운 합병증이 될 수 있습니다. 일단 기본적으로 whole spine X-ray 를 촬영하여 척추의 pedicle 의 회전과 만곡의 정도를 cubbs angle 등으로 측정을 하게 됩니다.


척추 측만증의 분류 ( King, Lenke classification)

1983년에 개발된 오래된 분류법 입니다.
Lenke 분류는 curve type에 추가적으로 lumbar spine modifier 및 thoracic sagittal modifeier 가 추가된 형태입니다.



척추 측만증에서 수술을 하게 되면 fusion 을 주로 하게 됩니다.
척추측만증 교정원칙
주만곡을 꼭 모두 유합을 해야하며, 유연성이 있는 보상성 만곡은 유합할 필요가 없습니다.
만곡 상부의 neutral vertebra 부터 하부의 neutral vertebra 까지 유합을 합니다. 따라서 척추체의 회전의 유무가 중요하게 됩니다.
유합의 가장 하단은 stable vertebra 로 sacral central line이 가운데를 지나가도록 해야합니다.
흉추의 후만 및 요추의 전만각은 정상에 가깝게 교정해야합니다.



'척추' 카테고리의 다른 글
| 양방향 내시경 척추 수술(Biportal endoscopic spine surgery, BESS) 이 시작되고 있습니다. (0) | 2021.07.06 |
|---|---|
| 허리디스크를 진단하기 쉬운 신체검사 (0) | 2021.01.15 |
| [전문] 척추가 앞으로 빠져나왔어요! Spondylolisthesis (0) | 2020.12.10 |
| [전문] 경추 신경근, 척추 신경근의 압박에 따른 sensory deficit, motor weakness (0) | 2020.12.09 |
| [전문] 이상한 검은 반점과 함께 허리가 굽어있어요 'Neurofibromatosis Scoliosis' 진단기준 (0) | 2020.11.25 |
댓글