강아지에게도 생기는 질병이지만, 사람에게도 종종 무릎이 빠지는 증상을 호소하시는 환자분들이 있습니다.


물론 선천적으로 빠지게 태어나는 경우도 있지만, 어디에 다치고 나서(외상), 혹은 경골부위의 변형으로 인해 한번 빠지고 난 후 빠지는 경우가 반복되는 경우가 있습니다. 습관성으로 빠지게 되는 경우는 굴곡을 할때마다 매번 탈구되는 경우고 가만히 있을 때는 증상이 없는 경우입니다. 외상성의 경우는 매번은 아니지만 손상을 한번 입은 후에 때때로 통증을 동반하면서 빠지게 되는 경우가 생길 수 있습니다.


재발성 슬개골 탈구 원인
1. Q angle 의 증가 (ASIS-PATELLA, PATELLA-TIBIAL TUBEROSITY ANGLE)
2. 슬개골 모양 자체에 문제가 있는 경우 (작거나 변형 심하거나)
3. 대퇴 관절융기에 이형성이 있는 경우. Lateral femoral condyle 에 hypoplasi 가 있어서 밖으로 주로 빠짐.
4. 슬개골이 올라가 있는 경우 (m/c) patella alta
5. Vastus medialis muscle fiber 방향이 이상한 경우
6. Vastus medialis muscle 이 atrophy 한 경우
7. Vastus lateralis muscle 이 hypertrophy 한 경우
8. Medial capsule 의 이완
9. Patella 에 비정상적으로 붙은 IT band
재발성 슬개골 검사
Patella grind test : knee extension 상태에서 전후 좌우 움직임
Apprehension test : knee 20-30도 flexion 상태에서 patella 외측 탈구시도 (4등분해서 2등분이상 탈구될 경우 양성)
Patella tilt test : knee 20-30도 flexion 상태에서 lateral facet 들어올려본다, (retinacular tightness test)
Dynamic patellar tracking : 90도 굴곡 상태에서, 무릎 서서히 extension 하면서 외측으로 탈구가 되는지 positive J sign 확인해본다.
Active patellar tracking : knee extension 상태에서 quadriceps 에 힘을 줄 때 patella 의 motion 검사 (원래 상방으로 / 가측으로 이동시 VMO 약화된 증상)
Tenderness
Hyperlaxity
재발성 슬개골 영상의학적 검사
AP view 보다 Lat view 가 더 중요합니다
AP view 에서는 bipartile patella, osteochondral fracture of medial patellar edge, loose body 등을 확인하고
Lat view 에서는 측정을 하도록 해야합니다.
1. Blumensaat : knee 30도 flexion 상태에서 intercondylar notch 연장한 것이 patella lower pole을 만납니다.
2. Insall and Salvati (0.8-1.2) : Patella tendon길이/Patella 길이 ( patella alta 의 경우 올라가므로, patella tendon 이 길어져 1.2 보다 높아집니다.)
3. Dejour : knee 20도 flexion 상태에서 crossing sign 이나 trochlear bump를 확인해서 trochlear insufficiency 가 있는 지 확인합니다.
4. Blackburne and Peel (0.5-1.0) : Patella-tibia 수직길이/Patella 길이


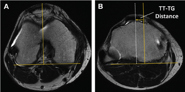
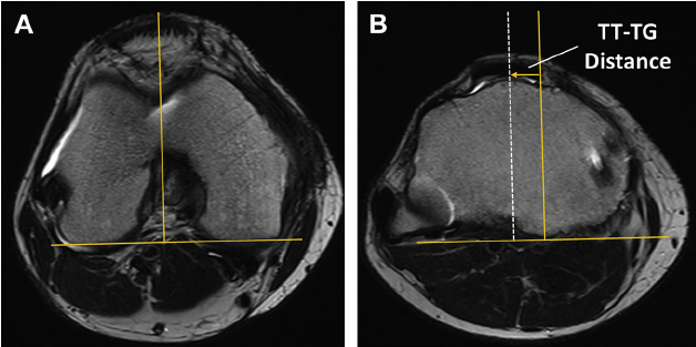
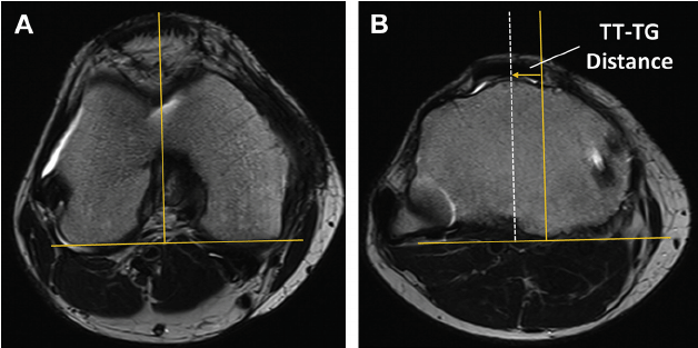
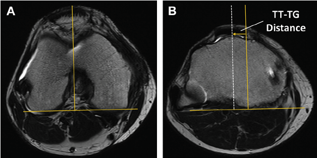
Axial view 는 가장 중요한 영상 검사입니다.
1. Sulcus angle (138 +-6도) : 150도 이상시 비정상
2. Congruent angle (-6 +-11도) : 16도 이상시 비정상
양쪽무릎을 동시에 찍어야합니다. 45도 flexion merchant view 에서 촬영하는 것이 좋습니다.

30도 flexion 한 상태에서 axial CT 를 촬영하여 TT-TG(Tibial tuberosity- trochlear groove) distance 를 측정하여 13mm 가 정상이며 20mm 이상인 경우 확실하게 비정상이 있다는 것을 확인해 볼 수 있습니다.


급성 손상이 있거나 loose body 가 있는 경우에는 MRI 를 촬영해 볼 수 있습니다.
재발성 슬개골 탈구의 치료
다른 질병과 마찬가지로 원인을 치료해주는 것이 가장 중요합니다. 급성 탈구가 있는 경우에는 비관혈적인 방법으로 치료를 하고 (교정) 무릎을 펴고 고관절을 굽혀 quadriceps를 이완시키게 되면 쉽게 정복이 됩니다. 신전상태로 4~6주 고정을 해볼 수 있습니다. (immobilization) 급성 손상의 경우에도 관절면의 불일치가 있거나, loose body 가 확인되거나 osteochondral fracture 가 심한 경우는 수술적 치료를 해야합니다.
외상성 탈구의 경우, 내측 구조물들이 손상을 받아 이완된 것이 주 이유이므로, 내측을 보강해주어야 합니다.
습관성 탈구의 경우, 외측 구조물의 구축이 주 원인이므로, 외측부 연부조직을 절개해야합니다.
선천성 탈구의 경우, 동반되어 있는 슬관절 변형을 평가한 후, 변형을 교정을 해주어야합니다.
재발성 슬개골 탈구의 수술적 치료
1. 외측지대 이완술
2. 근위 신전 기전 재정렬 (Q<17) : quadriceps 재정렬 / 구조 정상인 경우 MPFL reconstruction
3. 원위 신전 기전 재정렬 (Q>20) :
- Elmslie-Trillat 근위 경골 내측이전술 (성장 끝난뒤에, TT-TG>20)
- Fulkerson osteotomy 근위 경골 내전방 이전술 (연골결손, arthritis 동반 , TT-TG>20환자)
- Simmons 근위경골 원위 이전술 (patella alta, insall salvati >1.2 환자)
4. 근위 및 원위 신전 기전 재정렬
5. 슬개골 절제술 및 신전 기전 재정렬
6. Derotation HTO : thigh-foot angle >30도 이상
7. Trochleoplasty
도움이 많이 되셨길 바랍니다.
'슬관절' 카테고리의 다른 글
| [전문] 소아의 전방십자인대 손상! 재건술 방법이 나이에 따라 다소 다릅니다. (0) | 2021.01.04 |
|---|---|
| [전문] 무릎인공관절 수술의 gap technique (1) | 2020.12.05 |
| [전문] 전방십자인대 손상을 알 수 있는 두가지 신체검사 (0) | 2020.12.02 |
| [전문] 후방외측을 손상을 예측하는 신체검사, Dial test (0) | 2020.11.26 |
| 무릎 퇴행성 관절의 간단한 지표! Kellgren-Lawrence Grade (K-L grade) (0) | 2020.10.05 |
댓글