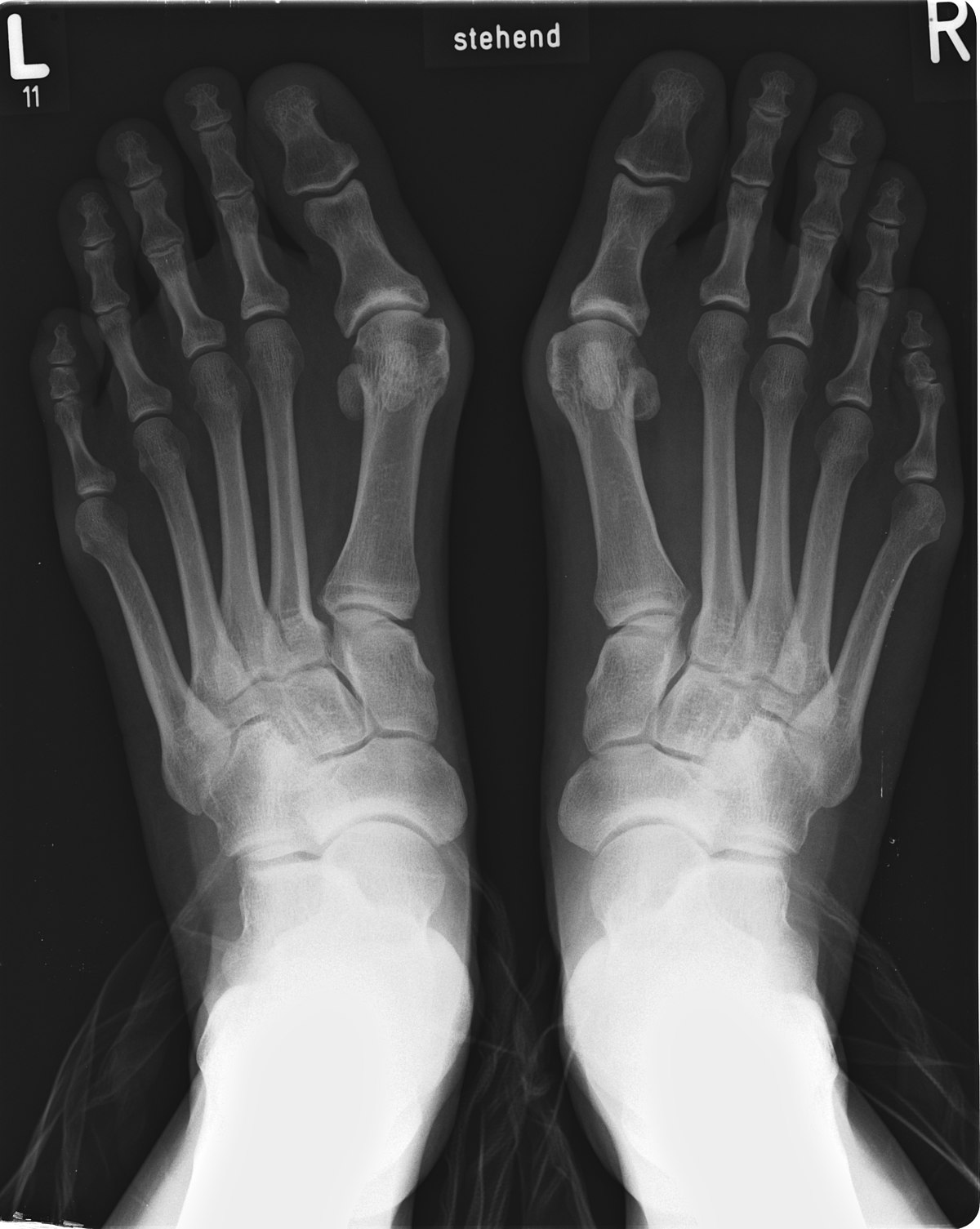
주로 중년 여성분들에게서 많이 생기는 질환입니다. 여러가지 병인이 있겠지만 주로 신는 좁은 신발들의 변형으로 생기며 유전적인 원인 및 긴 엄지발가락이 원인될 수 있습니다. 편평족이나, 종자뼈가 바깥쪽 아탈구가 있는 경우 '무지외반증' 이 진행되기도 합니다.
이러한 변형 자체는 크게 문제가 없으나, 변형으로 인해 계속되는 중족골 원위부 내측의 마찰로 인하여 굳은살이 생기고


심한경우 엄지발가락이 두번째 발가락을 침범하게 됩니다.


일단 무지외반증을 이해하기 위해서는 해부학적 구조 를 이해해야합니다.
엄지발가락이 계속 당겨지는 이유는 인대의 힘의 방향과 관련이 있습니다.
EHL, FHB, FHL, AbH 의 근육이 작용하면 외반이 진행된 다는 것을 확인할 수 있습니다.


Coronal View 로 확인해보면 다음과 같습니다. 대부분의 인대가 바깥쪽으로 치우치게 되는 것을 확인할 수 있습니다.

변형이 최소화 되기 위해서는 이러한 구조물들의 작용을 막아야 하겠죠.
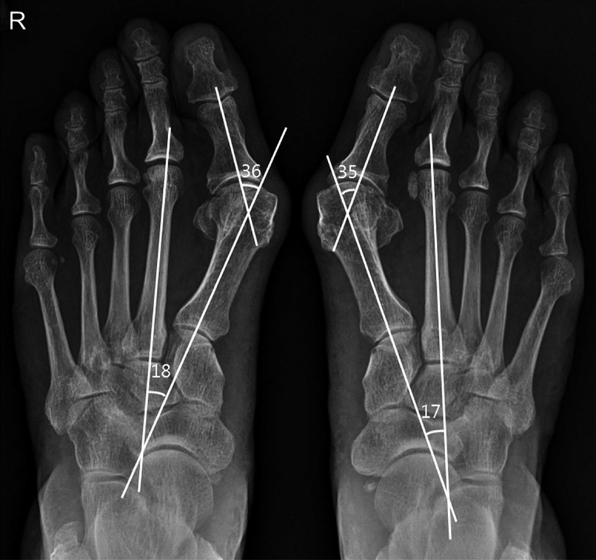
일단 치료 방식을 결정하기 전에, 엑스레이로 '무지외반증' 정도를 평가합니다.
기본 엑스레이를 통해 각도를 측정하는데 동일한 AP view 에서 주로 평가합니다.
1. HVA : Hallux Valgus Angle < 15도 이하 정상
2. IMA : Inter Metatarsal Ange < 9도 이하 정상
3. DMAA : Distal Metatarsal Articular Angle < 10도 이하 정상


선을 그을때 대부분 중족골의 중심인 선과 근위 족지의 각을 이용하도록 합니다. 원위 중족골 관절각도(DMAA)는 중족골 선의 90도인 선과 근위 족지의 관절에서 이은 선의 두 각도를 의미합니다. DMAA 가 증가되어 있으면 연부조직의 재건을 하는 것이 좋습니다. (DMAA 가 20도 이상인 경우에는 distal + Akin, distal biplane chevron, Double (distal + porx) 등 복합교정을 이용해야하고, 단순한 교정으로는 교정이 어렵습니다. )

위의 정상 수치보다 크게 되면 무지외반증으로 진단이 가능합니다.
수술을 하거나 치료를 하기전에 경한 증상 및 경한 각도변형의 경우에는 다음과 같은 보조기를 이용하여 외반을 일으키는 근육의 부담을 덜어주는 보존적 치료를 먼저 시작합니다. 약물치료도 병행하게 됩니다.


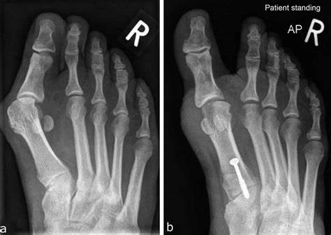
각도에 따라 심각도를 나눈 후에 수술을 진행할 수 있습니다.
수술에서 가장 중요한 것은
관절의 적합성과 관절염 의 확인입니다.

가장 먼저 해야할 것은 관절의 적합성을 확인하는 것입니다.
Joint congruency를 맞추기 위해서 soft tissue balancing 을 해야 합니다.

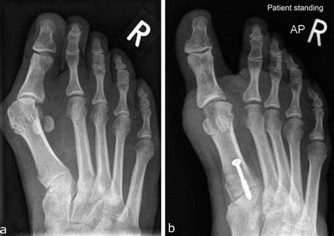
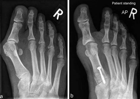
수술의 경우 변위 정도에 따라 Chevron, Distal softh tissue, Akin procedure 등을 시행해 볼 수 있습니다.
중등도 이상에서는 Proximal crescentic osteotoma, Mitchell procedure 등을 시행합니다.
아주 심한 변형에서는 Joint fusion 을 시도해 볼 수 있습니다.


수술 기법은 예전부터 다양하게 있으며, 이는 사실 다른 골 교정의 원리와 비슷합니다.



수술 후 합병증으로 과교정이 되는 경우 오히려 엄지발가락이 안쪽으로 휘게되는 Hallux varus 혹은
저교정으로 다시 진행되는 Hallux valgus 등을 들 수 있겠습니다.
도움이 많이 되셨길 바랍니다.
'족부' 카테고리의 다른 글
| 농구나 테니스를 하다가 발목 뒤쪽에서 '뚝' 하는 소리가 났어요! '아킬레스건 파열' (0) | 2021.01.09 |
|---|---|
| [전문] 발목을 삐었어요. 매커니즘을 알아야 치료를 제대로 할 수 있습니다. 'Lauge-Hansen Classification' (0) | 2020.11.13 |
| 발목을 삐끗했어요! 염좌의 등급을 알아봅시다. (0) | 2020.09.14 |
| 발목이 걸을 때 아파요! 인대 손상 및 신경염, 근육염을 의심하세요. (0) | 2020.06.18 |
| 발바닥이 아파요! 족저근막염(Plantar fascitis) 알아보자! (0) | 2020.05.20 |
댓글