족저근막염은 발바닥 아치를 이루는 결체조직인 족저근막에 염증이 생기는 질병을 말합니다.
주로 국내에서 중년 남성에서 많이 발생하는 질환입니다. 하지만 여성분에게도 충분히 발생할 수 있습니다.
족부 통증은 다음과 같은 부위에서 발생할 수 있는데, 대게는 뒷꿈치쪽 근위부의 통증을 호소하게 됩니다.
통증은 주로 극한된 부위에서 느껴지고, 아침에 첫 걸음에서 심하게 느낍니다. 생활을 하면 증상은 일시적으로 약간 좋아지나, 장기적으로 계속 아픈부위를 자극주고 사용하게 되면 점차 악화됩니다.
병인에 대해서는 퇴행성 질환, windlass 기전, 낭포화 및 미세파열, 가측 발바닥 신경의 눌림, 신경성 등이 있지만 정확히 밝혀진 것은 없습니다. 비만하거나, 걷기나 뛰기를 많이하는 경우 족저근막염이 생길 수 있습니다.

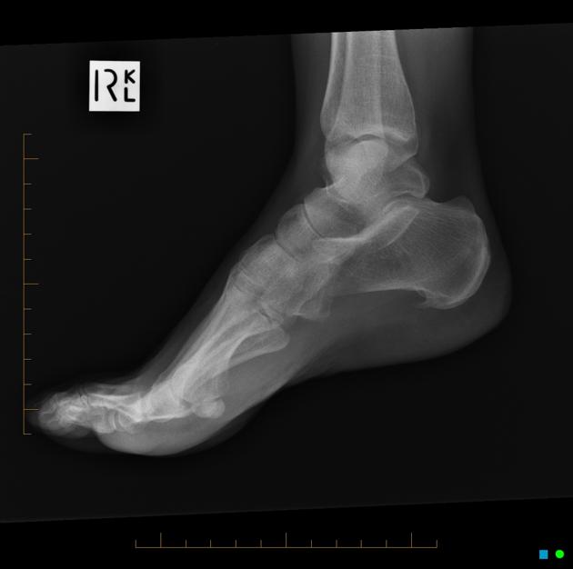
근위부의 경우 족저근막 이라는 인대가 붙어 있는 부위 위기 때문에 날카롭게 뼈모양이 변하는 골극이 발견되는 경우 족저근막염이 쉽게 발견될 수 있습니다.

실제로 아래와 같이 X-ray 나 MRI 에서 쉽게 발견할 수 있습니다. (잘 안보이는 경우 내측으로 45도 비스듬하게 찍기도합니다.) 골극은 주로 FDB의 기시부에 위치합니다. 본 스캔 검사를 통해서(핵의학검사) 족저근막염을 확인해 볼 수도 있습니다.



치료는 대게 보존적 요법을 시행합니다. 6개월 이상, 뒤꿈치 부위의 신발깔창을 이용하거나, 보조기 등을 이용해 볼 수 있습니다. 또한, 지속적인 족저근막의 스트레스가 중요합니다. 통증이 너무 심한 경우에는, 스테로이드 주사를 1~2회 정도 시도해 볼 수 있으며, 만성화된 경우는 체외초음파충격기를 이용한 치료를 시도해 볼 수 있습니다.


위의 보전적 요법에도 효과가 없는 경우에, 수술적 치료(부분 족저 근막 절개술, 부분 족저 근막 절제술, 족저 근막 유리술, 족저 신경 해리술, 비복근후전술) 를 할 수 있으나 결과에 대해서는 논란이 있습니다.
감별해야될 질환으로는 류마티스 관절염, 강직성 척추염, Reiter 증후군, 관절염, 피부조직염 등이 있습니다.
'족부' 카테고리의 다른 글
| 농구나 테니스를 하다가 발목 뒤쪽에서 '뚝' 하는 소리가 났어요! '아킬레스건 파열' (0) | 2021.01.09 |
|---|---|
| [전문] 발목을 삐었어요. 매커니즘을 알아야 치료를 제대로 할 수 있습니다. 'Lauge-Hansen Classification' (0) | 2020.11.13 |
| [전문] 엄지발가락 안쪽이 자꾸 신발에 닿아요. 두번째 발가락과 엄지발가락이 겹쳐요! 많은 외래 환자가 호소하는 '무지외반증' (0) | 2020.11.06 |
| 발목을 삐끗했어요! 염좌의 등급을 알아봅시다. (0) | 2020.09.14 |
| 발목이 걸을 때 아파요! 인대 손상 및 신경염, 근육염을 의심하세요. (0) | 2020.06.18 |
댓글