족부의 선천성 기형 중 가장 빈도가 높은 질병입니다.
양측으로 오는 경우가 50% 이상이며, 남아에서 2~4배 정도 많이 걸립니다.


정상인 발은 땅에 지탱할 수 있게 되어있지만, 만곡족의 경우 발이 안쪽으로 말려들어가게 됩니다.
병리소견은 다음과 같습니다.
1. 족근관절의 첨족(equinus)
2. 후족부의 내반(varus)
3. 전족부의 내전(adduction)
요족변형 (cavus deformity), internal tibial torsion
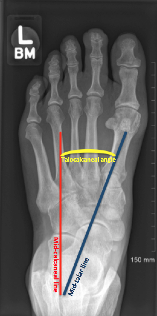
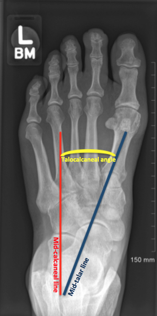
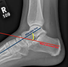
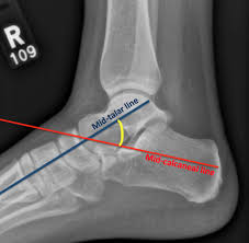
방사선 검사로
Talocalcaneal angle(30-55도, dorsiflexion lat시 25~50도) 이나 Talo-1st MT angle(5-15도), tibiocalcaneal stress lateral angle(10~40도) 를 시행해 볼 수 있습니다.
만곡족에서의 변화
Talocalcaneal angle은 AP에서 Kite angle 로 불리는데, 만곡족시 후족부가 내반될 경우 30도 이하가 됩니다. (cf. 외반일경우 55도 이상)
Talocalcaneal angle은 Lat 에서 감소하거나 음각이 되기도 합니다.
Talo-1st MT angle은 전족부의 내전을 평가하는 수치로, 만곡족에서는 음각 입니다.
Tibiocalcaneal stress lateral angle 은 만곡족에서는 음각입니다.
Talocalcaneal index : 전후면 거종각 + 측면 거종각을 합한 수치로 (40도 이상 정상), 만곡족시 40도 이하가 됩니다.




치료는 생후 1주일 이내 시작합니다. 체중 부하를 목적으로 치료를 시작합니다.
2살 미만에서 치료(비수술적, 폰세티 교정)를 시작한 경우 90% 이상 성공률이 높습니다.
교정의 순서는 CAVE 로 알아둬야합니다.
1st. 전족부의 내전 (correction of forefoot cavus and adduction) : 1st cast
2nd. 후족부의 내반 (correction of heel varus) : 2~4th cast
3rd. 족근관절 첨족변형의 교정 (correction of hindfoot equinus) : 5th cast
마지막 5번째 캐스트를 시행하기전에 족배굴곡이 10도 미만 제한되는 경우가 많습니다. (90%) 이럴 경우 아킬레스 건 절단술을 시행하여 rocker-bottom foot 을 예방해야합니다.

캐스트 치료가 끝난 후 족부 외전 보호기를 사용해 70도 외회전을 유지합니다. 처음 3개월은 하루 23시간을 착용하도록 하고, 그 이후 3~4년간은 야간에만 착용합니다. 재발성 만곡족 혹은 저항성 만곡족의 경우 수술적인 치료가 필요할 수 있습니다.
'소아' 카테고리의 다른 글
| [전문] 미성숙한 뇌로 일상생활이 힘들어요. ' 소아마비' Cerebral palsy (0) | 2020.12.12 |
|---|---|
| [전문] 아이의 대퇴골두가 괴사되고 있대요! 'LCP disease (Legg-Calve'-Perthes) (0) | 2020.11.21 |
| 청소년 아이의 성장을 알고 싶어요! 골반 골단판의 유합정도를 확인합니다! 'Risser stage' (0) | 2020.10.25 |
| 성장판이 열려있어요! 얼마나 클까요? "뼈 마다 다른 성장비율" (0) | 2020.09.10 |
| [전문] 아이가 갑자기 걷지못하고, 고관절을 아파해요! '일과성 윤활막염' 을 의심하세요 (0) | 2020.07.03 |
댓글