인간은 탄생부터 20대까지는 성장을 하게 됩니다. 뼈도 성장을 하게 되는데, 성장판에서 뼈의 생성이 진행이 되면서 뼈의 길이가 길어지게 됩니다.

뼈는 각 부위마다 성장속도가 다르게 되는데
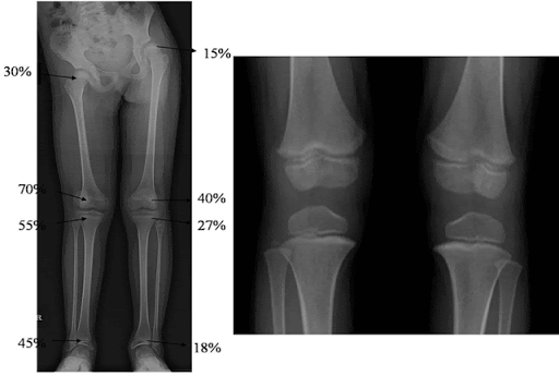
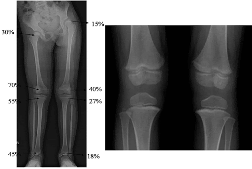
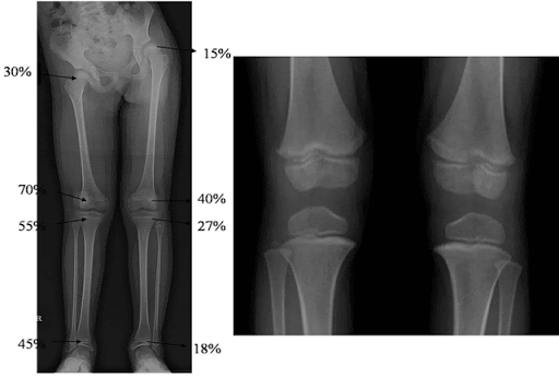
각 장골 기준으로 보면
대퇴부위는 근위/원위 3:7 비율로
비골의 경우 근위/원위 6:4 비율로
경골의 경우 근위/원위 5.5:4.5 비율로 성장하게 됩니다.
(슬관절에서 길이성장이 많이 일어납니다.)

하지 전체로 보았을 때에는 총 100%라고 보았을 때 대퇴근위15%/대퇴원위40%/경골근위27%/경골원위18% 로
대퇴뼈에서 길이성장을 더 많이 하는 것을 알 수 있습니다.

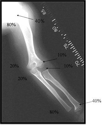
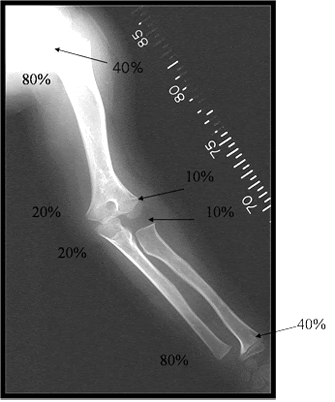
상완골의 경우 근위/원위 : 8:2 비율로
요골의 경우 근위/원위 2.5:7.5 비율로
척골의 경우 근위/원위 2:8 비율로 성장하게 됩니다.
(어깨관절이나, 완관절에서 길이성장이 많이 일어납니다.)

상지 전체로 보았을 때 총100% 기준 상완골 근위 40%/상완골 원위10%/요골 근위 10%/요골 원위 40% 로
상완골과 전완부의 골의 성장이 비등비등하다는 것을 알 수있습니다.

아이의 키의 성장이 걱정된다면 이러한 성장판을 촬영하여 성장을 예측해 볼 수 있습니다.
자세한 계산방법은 전문적인 포스팅에 추후 하도록 하겠습니다.



'소아' 카테고리의 다른 글
| [전문] 미성숙한 뇌로 일상생활이 힘들어요. ' 소아마비' Cerebral palsy (0) | 2020.12.12 |
|---|---|
| [전문] 아이의 대퇴골두가 괴사되고 있대요! 'LCP disease (Legg-Calve'-Perthes) (0) | 2020.11.21 |
| 청소년 아이의 성장을 알고 싶어요! 골반 골단판의 유합정도를 확인합니다! 'Risser stage' (0) | 2020.10.25 |
| [전문] 신생아의 다리가 골프채클럽 모양처럼 휘었어요! 꼭 일찍 치료받아야 합니다. '선천성 만곡족' (0) | 2020.09.23 |
| [전문] 아이가 갑자기 걷지못하고, 고관절을 아파해요! '일과성 윤활막염' 을 의심하세요 (0) | 2020.07.03 |
댓글