고령인구의 증가와 함께 인공관절 인구가 전세계적으로 늘면서 재골절에 관한 케이스도 증가하고 있는 추세입니다.





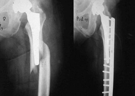
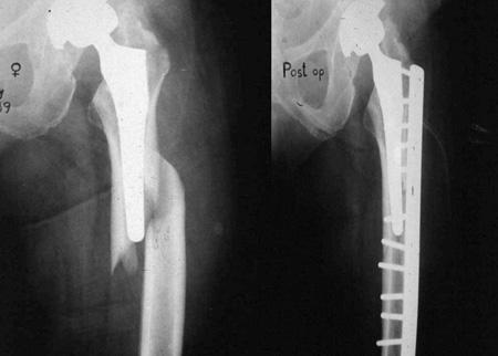
캐나다 도시 이름을 딴, 벤쿠버 분류가 가장 많이 사용되고 있습니다. Vancouver Classification
수술중 골절의 위치가 어디냐에따라 A,B,C 로 나뉘어지고 cortical 을 범하는지, nondisplaced 인지, unstable 인지에 따라서 1,2,3 으로 등급을 정합니다. 불안전성이 높거나 B이상부터는 거의 재치환술이 필요하다고 생각하면 쉽게 이해할 수 있을 것 같습니다.



일상생활을 하다가 부러진 경우에도 똑같은 Vancouver Classification 을 사용합니다. 수술중과 큰 차이는 위치에 따라 골절을 나뉘고 B만 구체적으로 나누고 나머지는 그냥 A,C로 골절을 나뉩니다. STEM 이 헐거운 경우 B2, STEM 바로 아래는 B1, 삽입물 주변의 골절 또는 뼈가 부족한경우 B3로 이해하면 됩니다.





도움이 많이 되셨길 바랍니다.
'고관절' 카테고리의 다른 글
| 인공관절 치환술에서 재치환술을 준비하기 위한 골용해(osteolysis) 소견과 Paprosky classification (0) | 2021.01.31 |
|---|---|
| [전문] 인공관절 전치환술 비구 삽입물 수술시 제일 중요한 Cup positioning (0) | 2021.01.02 |
| [전문] 골반 골절의 분류 Tile classification, Young and Burgess classification (0) | 2021.01.01 |
| [전문] cementless femur stem 의 분류 (0) | 2020.11.30 |
| [전문] 비구 골절 (acetabulum fracture)의 분류 중요합니다. (0) | 2020.11.28 |
댓글