진료실에서 40~60대 남성분들에게 많이 보이는 질환입니다.
주로 맥주를 마시거나 고기를 좋아하는 = 딱 직장인의 생활습관 에서 생길 수 있는 질환이죠.
대부분 생활습관이 좋지 않은 편이며 통증이 심해지거나 건강검진에서 높은 Serum Uric Acid 수치로 병원을 내원하게 됩니다.

통풍의 정의는 요산이 체내에 축적되어 생기는 병을 의미합니다. 요산은 단백질이 분해되면서 나오는 부산물이라고 생각하면 되는데 이 물질이 일정농도를 유지하면 괜찮지만 그 이상 많이 유지되면 진흙이 쌓이듯이 쌓이게 되는 것이죠. 요즘 들어 헬스 등의 운동문화가 생기게 되어 단백질 관련 음료나 제품을 많이 먹는데, 이런 생활습관도 통풍환자가 많아지는 이유가 될 수 있겠습니다.
이 외에도, 2차적으로 건선, 빈혈, 백혈병, 암화학치료 등으로 통풍이 생길 수 있습니다.



요산 결정은 위와 같이 생겼고 이러한 결정이 관절에 침착되었을 때 심한 통증을 일으키게 됩니다.


뭔가 바늘처럼 생긴 결정이 보기만해도 아프게 생겼죠? ㅎㅎ
Negative Birefringent Needle 이라고 불리는 모습을 현미경으로 찾으면 통풍인 것 입니다.
이런 결정이 쌓이기 전에 당연히 피속에는 Hyperuricemia 라는 Uric Acid 가 과한 상태가 됩니다. (높아도 정상적으로 지내는 사람들도 많기 때문에 진단에 필수적인 내용은 아니지만, 특이도는 높습니다. 대게 6.7mg/dl 이상일 경우 통풍결절이 생성될 수 있다고 봅니다.)

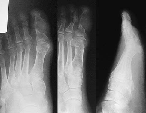
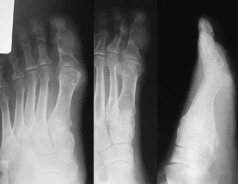
주로 통풍이 왔을 때 병원을 찾는 경우는 급성인 경우가 많습니다. (만성상태에서 급성전환 포함)
따라서 가장먼저 해야할 치료는 '통증조절' 입니다. 흔하게 NSAID(indomethacin), colchicine(재발때도 방지용으로 사용) 등을 이용합니다.(둘다 사용 못하는 경우는 IV steroid도 고려)
두번째로 해야할 치료는 '요산제거' 입니다. 요산이 생기는 걸 막게하는 방법은 생활습관조절이나, 약물 치료가 있을 것이고 요산이 생기는 pathway(xanthine oxidase)를 막는 allopurinol이나 febuxostat, 요산배출을 늘리는 약물 등을 사용하는 것 입니다. 약물 사용시 신장기능, 신장이식여부 등을 꼭 확인해야하며, 요산 수치가 급격히 떨어졌을 때는 문제가 될 수 있기 때문에 조절 속도도 적당하게 해야합니다.


정형외과적으로는 관절의 염증이 심하게 수반되어 진통제에도 일상생활이 불가능한 경우, 세척술 및 침착물을 제거하는 수술, 관절경을 시행해서 통증은 급격하게 줄이는 시도를 해볼 수 있겠습니다.

아프다고 절대 참지말고, 꼭 병원 방문하여 진료 및 치료를 받으시길 바랍니다 : )
'족부' 카테고리의 다른 글
| 무지외반증 수술의 비약적인 발전, 3세대 MICA -> 4세대 META, MITA (0) | 2023.11.30 |
|---|---|
| 골절과 헷갈리면 안되는 하지 부골(accessory ossicle)! (0) | 2021.01.19 |
| 농구나 테니스를 하다가 발목 뒤쪽에서 '뚝' 하는 소리가 났어요! '아킬레스건 파열' (0) | 2021.01.09 |
| [전문] 발목을 삐었어요. 매커니즘을 알아야 치료를 제대로 할 수 있습니다. 'Lauge-Hansen Classification' (0) | 2020.11.13 |
| [전문] 엄지발가락 안쪽이 자꾸 신발에 닿아요. 두번째 발가락과 엄지발가락이 겹쳐요! 많은 외래 환자가 호소하는 '무지외반증' (0) | 2020.11.06 |
댓글