2020/05/25 - [보건의료] - 코로나 바이러스와 감기 증상으로 구분할 수 있을까?
코로나 바이러스와 감기 증상으로 구분할 수 있을까?
코로나19 로 명명했지만, 코로나20으로 불릴 것 같은 그 바이러스 입니다. 글을 쓰는 시점의 코로나 현황입니다. 곡선이 무시무시합니다. 결론적으로 한줄로 정리하면 안타깝지만, 코로나 바이러
docson.tistory.com
이전에 제가 작성한 포스팅 입니다.

한파가 오면서 검체수가 줄어서 그런지 점점 수가 줄고 있긴하나 아직도 641명이라는 높은 수치입니다.
확진환자가 어느새 67999명이 되었네요.
인구의0.1%는 확진된 어마어마한 수치입니다.
이러한 코로나에 걸리신 분들은 걱정이 많으실 것 같습니다. 사실 이러한 병인 자체가 거의 처음 있는 일이기 때문에
의학자들은 예측을 하고 있지만 아직 완벽하게 코로나감염 에 대한 치료가 있지 않은 현실입니다.

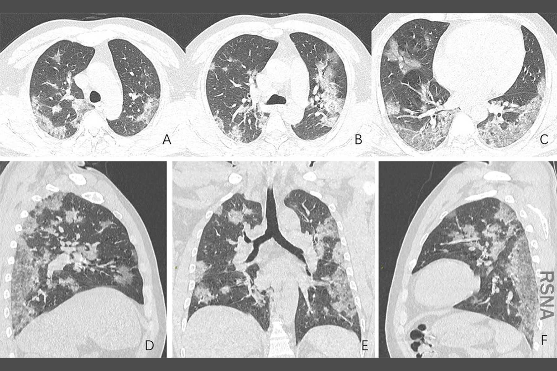
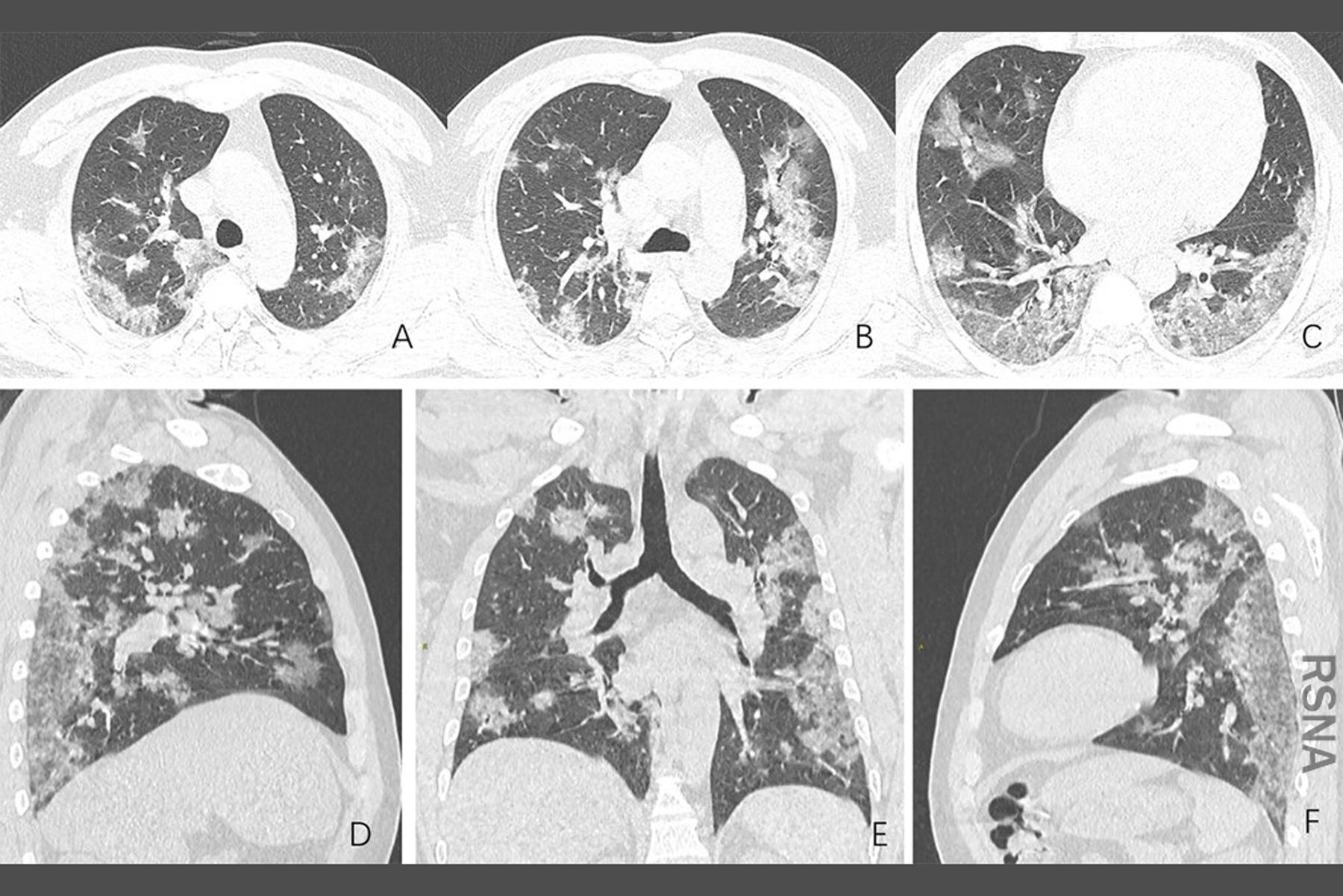
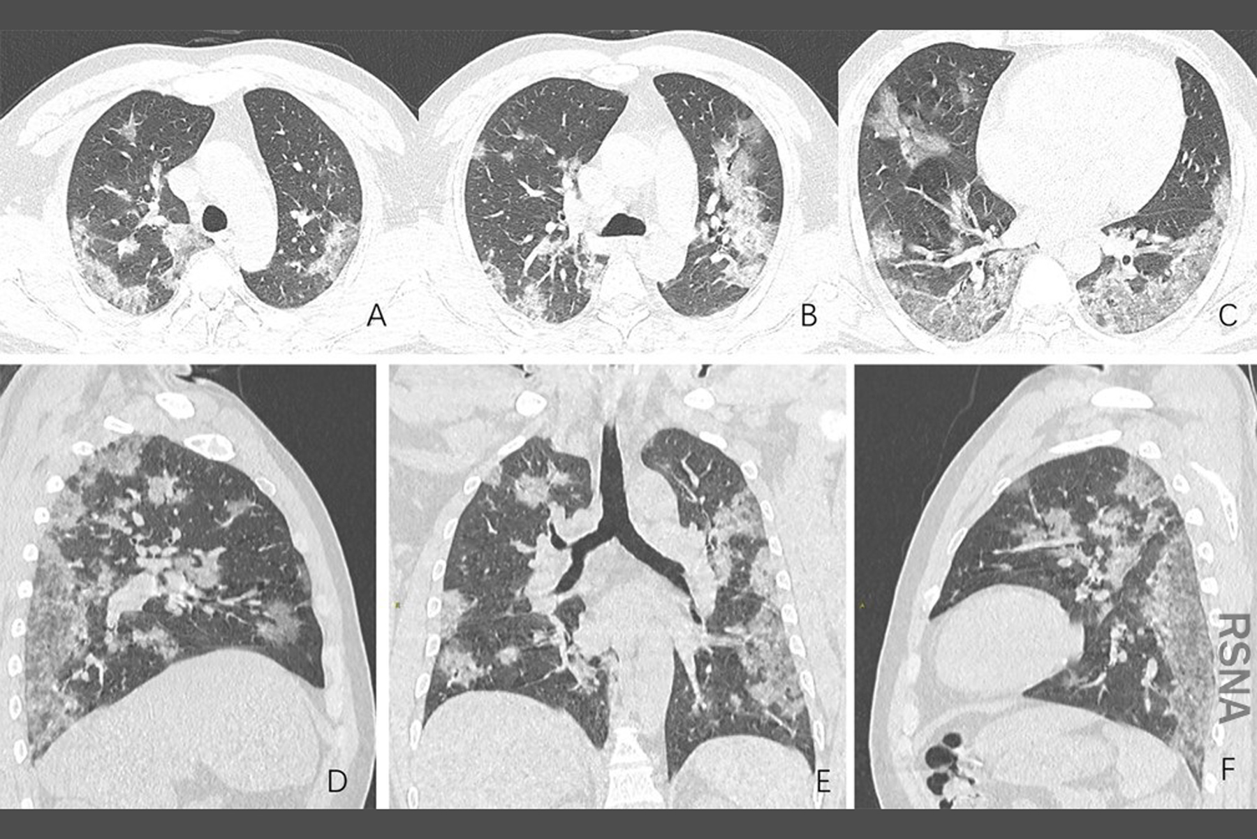
폐손상이 있게 되면 폐조직 자체는 회복이 이전처럼 당연히 될 수 없기 때문에 호흡기계 장애가 남을 수 있지만
코로나 바이러스에 걸린 사람들의 후유증은 다른 여러가지 증상이 있으며, 다른 증상들도 증상이 오래 남는다고 합니다.

코로나 증상으로는 '피곤함' 이 제일 높은 증상이었습니다. 그 외에 높은 것들은 아래 표와 같습니다.


정리해보면 피곤함, 숨참, 기침, 관절통, 흉통 이 남을 수 있으며 그 외에도 근육통, 심장박동의 이상, 맛과 향을 못느낌, 기억력이나 집중력장애(브레인포그), 수면장애, 탈모 등이 생길 수 있습니다.
바이러스에 안걸리는 것이 제일 중요하면서도 핵심적입니다. 모두들 위생적이며 자기보호를 지금처럼 잘 해야할 것 같습니다.
물론, 최근 마스크 및 손위생이 늘면서 기존에 유행하던 독감이 올해는 전세계적으로 오지 않았다고합니다. 매년 유행하는 독감에 맞춰서 백신을 맞았었는데 내년 백신은 만들기도 힘들 수도 있겠습니다. (유행을 안했기 때문이죠)
'보건의료' 카테고리의 다른 글
| 아이가 소변을 자주봐요! '소아 빈뇨' (0) | 2021.02.18 |
|---|---|
| 몸안의 떠다니는 시한폭탄 - 이상지질혈증 '스타틴'으로 치료합니다. (0) | 2021.02.17 |
| 코로나 시대! 위가 안좋아서 생길 수 있는 '기침', 위식도역류염(GERD) 을 항상 생각해야합니다. (0) | 2020.12.30 |
| 폐 한쪽이 숨쉬기가 힘들고, 가슴이 먹먹해요! '가슴공기증(기흉)' 을 의심하세요. (0) | 2020.11.21 |
| 독감예방접종 15명째 사망! 백신 부작용을 알아봅시다. (0) | 2020.10.22 |
댓글