


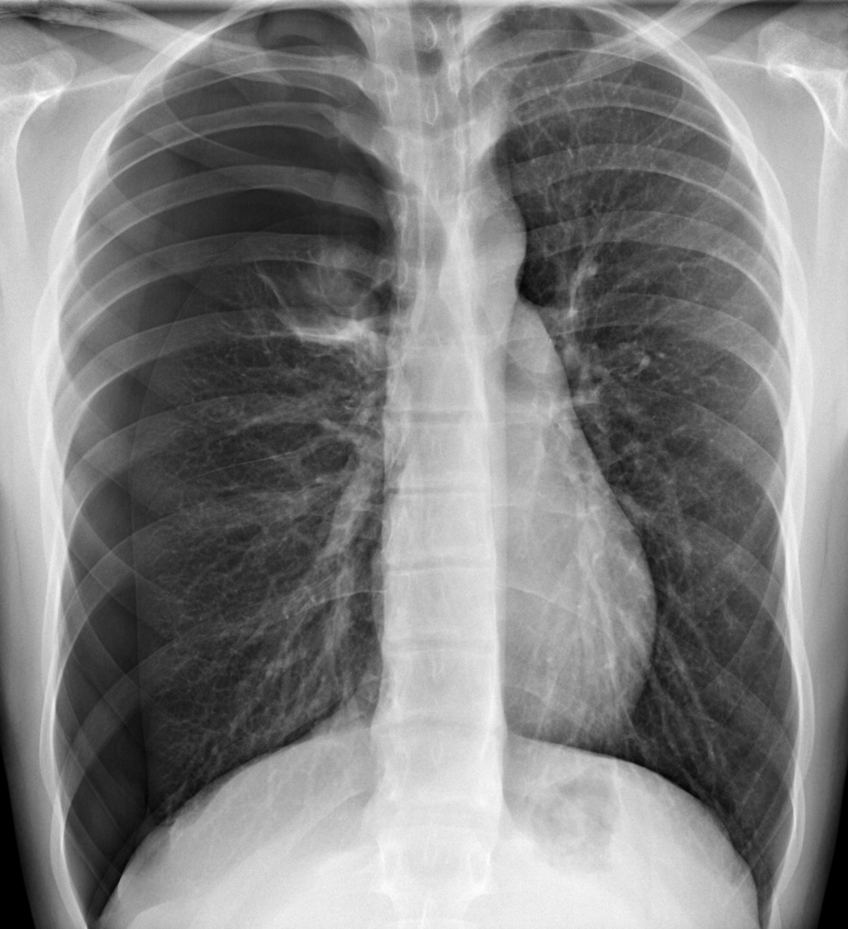
최근 진료를 보다가, 젊은 환자 분들중에 키가 크고 마른 학생들에게서 발견한 케이스입니다.
한글로 풀어서 쓰면 '공기가슴증' 이라고 할 수 있습니다.
2020/06/04 - [보건의료] - 목감기가 오래가요! 기침이 오래가요! '급성기관지염'
목감기가 오래가요! 기침이 오래가요! '급성기관지염'
최근 진료실에 목감기로 진료를 받으러 오시는 분들이 매우 많습니다. 가장 흔하기도하고, 가벼운 질환이기도 하지만 삶의 퀄리티를 매우 떨어뜨리기도 합니다. 감기의 치료의 핵심은 대증치료
docson.tistory.com
이전에 제가 작성한 포스팅입니다. 호흡기계 해부학적 구조를 참고해주시기 바랍니다.
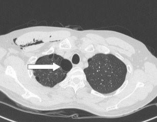
제가 본 학생은 신장(키)이 더 빠르게 생장하다 보면 폐 성장이 늦어지면서 그 빈 공간(흉막강)을 공기가 차게 되는 경우의 케이스였습니다. 폐와 흉각은 흉막이라는 막에 쌓여 있는데, 평소에는 공기 대신 흉막액이 있어야할 공간인 곳이죠. (자발성 기흉.)
증상
흉통과 호흡곤란
원인
흉막강 내 여러 원인이 있을 수 있습니다.
자발성 기흉
- 일차성 자연기흉 : 기존에 폐질환이 없는 건강한 사람에서 발생한 기흉 (키가 크고 마른 사람, 흡연, 대기오염)
- 이차성 자연기흉: 기존에 폐질환이 있던 사람에게서 발생한 기흉 (결핵, 폐감염질환, COPD 등.)
- 신생아 자연기흉 : 신장기형, 유리질막병, 태변흡입 등 특정 질환을 가진 신생아에서 발생하는 기흉.
- 월경성 자연 기흉 : 젊은 여성에서 월경과 연관되어 발생하는 기흉
외상성 기흉

치료
- 안정 및 O2 supply
- 흉관삽입술
- 화학적 흉막 유착술(테트라사이클린, 활석가루)
- 수술(소기포절제)

자발성 기흉은 재발이 많기 때문에 치료를 잘 받도록 해야합니다.
'보건의료' 카테고리의 다른 글
| 코로나 바이러스 후유증은 어떤 것이 있을까요? (0) | 2021.01.10 |
|---|---|
| 코로나 시대! 위가 안좋아서 생길 수 있는 '기침', 위식도역류염(GERD) 을 항상 생각해야합니다. (0) | 2020.12.30 |
| 독감예방접종 15명째 사망! 백신 부작용을 알아봅시다. (0) | 2020.10.22 |
| 독감예방접종 왜 맞아야 하는거죠? '능동면역' 을 이용해야합니다. (0) | 2020.10.19 |
| 잠이 안와요! 수면제 먹어야겠어요. '수면제 중독' 조심하세요. (0) | 2020.08.13 |
댓글