인공관절의 매커니즘은 허리나 어깨나 발목이나, 슬관절, 손목이나 모든 관절에서 비슷합니다. 사람에게는 보행이 가장 중요하기 때문에 하지쪽 인공관절이 더 일찍 발전했으며 예후가 더 좋습니다.
관절을 이루고 있는 연골이 퇴행했기 때문에, 이 역할을 대신 다른 물질(금속, 세라믹) 등을 이용해서 하는 것이지요. 자동차로 치면 베어링 같은 역할입니다. 로봇의 발전이 요즘 급속히 진행되는 이유도 이러한 관절같은 기능과 근육의 작용이 자세하게 밝혀지는 것과 관련이 있습니다.


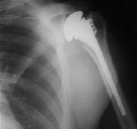
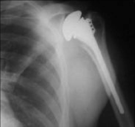
위의 사진과 같이 기존의 인공관절은 humerus 의 골두를 제거하고 glenoid 모습과 비슷하게 작동하는 원리로 인공관절이 되었으나 최근에는 humerus head 의 medialization 효과와 deltoid muscle lever arm의 증가로 더 효과가 있는 reverse shoulder arthroplasty 가 많이 시행되고 있습니다. 1990년대부터 수술을 시작했으니 30년 정도 지난 수술법입니다.
수술 대상
수술은 cuff tear arthropathy 나 massive rotator cuff tear with pseudoparalysis, severe inflammatory arthritis with a massive cuff tear, anterior-superior escape이 있거나 70세 이상에서 상완골 3-4 part fracture 가 있는 경우, RC insufficiency equivalent, failed arthroplasty(absense of tuberosities, cuff, instability), RA(glenoid가 충분히 있어야함) 등에서 시행해 볼 수 있습니다.
deltoid 기능이 중요하기 때문에 axillary nerve dysfunction 이나 deltoid deficiency, glenoid osteoporosis 등에서는 사용하면 안됩니다.

쉽게 생각하면 Convex 와 Concave가 반대로 된 구조라고 생각하면 됩니다. 회전의 중심(Center Of Motion)이 좀더 아래와 안쪽에 위치한 생역학적 장점을 갖고 있습니다.
수술 금기
TSA 금기와 비슷하게 deltoid function 이 없거나, glenoid bone loss가 심한경우에는 RTSA도 시행할 수 없습니다.
Complication
대신 반대로 상완골의 움직이면서 glenoid의 하방부를 notching 하는 부작용이 쉽게 생길 수 있습니다. 이를 scapular notching 이라고 합니다. base plate를 좀더 lateral inferior 하게 삽입하면 이를 예방할 수 있습니다. 또한 glenosphere 크기를 늘리고 lateral offset을 늘리는 방법도 있습니다.
이 외에도 dislocation 이나 치환물의 instability(RC, SSC, CA lig등의 기능확인) , glenoid loosening, deep infection(c.acnes), neuropraxia(일시적), acromion base fracture(deltoid tension 증가로) 등이 있을 수 있습니다.


도움이 많이 되셨길 바랍니다.


'견주관절' 카테고리의 다른 글
| [전문] 척골신경 마비와 관련있는 Guyon tunnel syndrome(low) 과 Cubital tunnel syndrome(high) (0) | 2020.12.20 |
|---|---|
| [전문] 날개뼈의 움직임을 확인해보고 분류해볼 수 있습니다. (Scapula Dyskinesis) (0) | 2020.12.20 |
| [전문] 날개뼈가 안쪽이나 바깥쪽으로 치우쳤어요! 날개견갑골! '신경손상' 생각해야합니다. (0) | 2020.10.23 |
| 부모님 어깨가 아파요! 저녁마다 아파하세요! '유착관절낭염(오십견)' 의심하세요! (0) | 2020.07.09 |
| 골프를 하는 데 팔꿈치가 아파요! 왜 아픈지 알아봅시다. (0) | 2020.06.10 |
댓글