

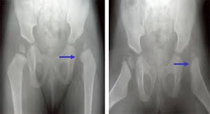
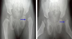
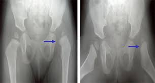
고관절 탈구가 있는 경우 6개월 이내의 소아에서는 보조기 치료를 시행해 볼 수 있으나,
6개월 이후에는 절골술 및 교정술, 좀 더 적극적인 치료가 필요할 수 있습니다. 치료가 공격적이기 때문에
많은 환자 보호자분들은 치료를 피하거나 좀더 지켜보고 싶다고 하는 경우가 있는 데 그런 경우는 탈구나 변형이 더 진행되어 추후 인공관절을 선택하는 선택지 말고는 남은 선택지가 없는 경우가 많습니다.

절골술을 선택하여 되어 제때 치료한 경우 원래 연골의 구성과 같은 hyaline cartilage(초자연골)로 덮히게 되면 치료는 성공적이라고 할 수 있으며 이는 Reconstructive osteotomy 라고 합니다. 하지만 이미 탈구가 상당하여 fibrocartilage(섬유연골)로 라도 생길 수 있게 교정을 해주는 경우를 Salvage osteotomy 라고 합니다.

대부분 절골술은 Reconstructive osteotomy 이며 Chiari, Shelf 절골술이 salvage osteotomy 입니다. salvage osteotomy는 지붕 혹은 가벽을 만들어 준다는 식으로 생각하면 쉽습니다. 체중부하 면적을 증가시켜 줄 수 있습니다.


가장 흔하게 사용되는 reconstructive osteotomy 를 보게 되면 다음과 같습니다. reconstructive procedure 는 congruent joint (교합성 관절)에서만 시행할 수 있습니다.

수술자의 선호가 있는 치료가 있지만 Internal Fixation이 필요없고 예후가 괜찮고 수술법이 나쁘지않아 현재 Pemberton 이나 Dega osteotomy를 많이 사용하는 편입니다.
1. Salter 는 Acetabular index 가 10~15도 이하로 변형이 심하지 않을 때 사용할 수 있습니다. symphysis pubis를 hinge로 하여(chiari osteotomy와 hinge가 같습니다.) anterolateral을 덮어줄 수 있습니다. 단순하게 방향을 교정해주기 때문에 비구의 변형이 있는 경우 잘 사용하지 않습니다.

2. Pemberton의 경우 15도 이상의 변형에서 사용하게되며, 작은 골두와 큰 acetabulum 일때 시행하면 좋습니다. 비구의 변형을 교정할 수 있는 술식입니다. 삼방연골을 hinge로 사용하게 됩니다.

3. Dega는 pemberton에 비해 incomplete 하게 transiliac osteotomy를 시행하게 됩니다.
Pemberton이나 Dega는 volumn을 감소시킵니다.

4. Ganz의 경우 비구를 아에 4방향 모두 (직하 좌골, 치골, 비구 상방장골, 비구 후면) 떼어내서 전외측으로 회전하여 교정하기 때문에 많이 위험하고 어렵지만 true pelvis를 유지하게 해줘서 (골반모양유지), 출산에 유리한 방법입니다.

5. Steel은 세군대에서 절골술을 시행하는 방법입니다.


결론적으로 비구의 변형과 대퇴구의 탈구를 막기 위해 이것저것 머리를 써보면서 절골술을 시행한 것이며
절골술은 비구나 골반골의 위치를 변형시켜 생역학적으로 좀더 안정적이고 초자연골이나 섬유연골로 관절을 재교정해주는 발달성 고관절 변형에 대한 핵심적인 치료입니다.


'소아' 카테고리의 다른 글
| [전문] 소아 대퇴골과, 경골 간부, 상완골, 전완골의 골절 허용각 (0) | 2021.01.20 |
|---|---|
| [전문] 소아 하지의 회전변형 5가지 동적 검사를 해봐야합니다. (0) | 2021.01.07 |
| [전문] 미성숙한 뇌로 일상생활이 힘들어요. ' 소아마비' Cerebral palsy (0) | 2020.12.12 |
| [전문] 아이의 대퇴골두가 괴사되고 있대요! 'LCP disease (Legg-Calve'-Perthes) (0) | 2020.11.21 |
| 청소년 아이의 성장을 알고 싶어요! 골반 골단판의 유합정도를 확인합니다! 'Risser stage' (0) | 2020.10.25 |
댓글