

소아의 경우 골절이 발생하기전 에너지를 흡수해 '소성변형' 이 일어납니다. 에너지를 흡수하다보니 혈종이 거의 없으며 골막반응도 적습니다. 소아 골절은 융기 골절(torus), 녹색줄기 골절(green stick fx) 등으로도 특징적인 골절 형태가 있기도 합니다. 소아의 경우 성장이 남아 있긴 때문에 골절 후 변형에 대해서 어느정도를 수술이나 치료가 필요할지 정하게 되는데 이는 아래 표와 같습니다.
Femur shaft Fracture
| 골절 허용각 | 내반, 외반(º) | 전만, 후만(º) | 단축(mm) |
| 2세이전 | 30 | 30 | 15 |
| 2~5세 | 15 | 20 | 20 |
| 6~10세 | 10 | 15 | 15 |
| 11세이상 | 5 | 10 | 10 |
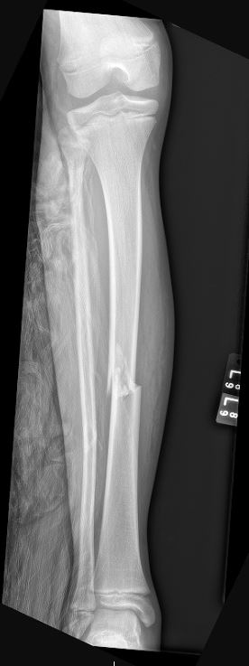
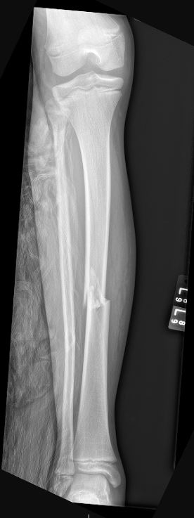
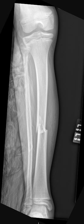
Tibia Shaft Fracture
| 골절 변형 종류/나이 | 8세 이하(mm,º) | 8세 이상(mm,º) |
| Valgus | 5 | 5 |
| Varus | 10 | 5 |
| Ant angulation | 10 | 5 |
| Post angulation | 4 | 0 |
| Shortening | 10 | 5 |
| Rotation | 5 | 5 |
Proximal humerus


Forearm Fracture

도움이 많이 되셨길 바랍니다 : )
'소아' 카테고리의 다른 글
| '아이의 뼈가 부러졌어요', 뼈가 유연한 소아 골절의 특징 (0) | 2021.06.17 |
|---|---|
| [전문] 소아 하지의 회전변형 5가지 동적 검사를 해봐야합니다. (0) | 2021.01.07 |
| [전문] 아이의 고관절이 빠져있대요! DDH(Developmental Dysplasia of the Hip)의 '골반 절골술'에 대해 알아봅시다. (0) | 2020.12.14 |
| [전문] 미성숙한 뇌로 일상생활이 힘들어요. ' 소아마비' Cerebral palsy (0) | 2020.12.12 |
| [전문] 아이의 대퇴골두가 괴사되고 있대요! 'LCP disease (Legg-Calve'-Perthes) (0) | 2020.11.21 |
댓글