최근 진료실에 목감기로 진료를 받으러 오시는 분들이 매우 많습니다.
가장 흔하기도하고, 가벼운 질환이기도 하지만 삶의 퀄리티를 매우 떨어뜨리기도 합니다.
감기의 치료의 핵심은 대증치료 입니다.
불편한 증상 때문에 일상생활이 힘들기 때문에 환자분들께 약을 처방하게 됩니다.
3개월 을 기준으로 급성과 만성을 나누게 되며, 대게 2~3주 이상 지속되는 가래나 기침이 있는 경우 병원을 꼭 방문하여야 합니다. 물론 감별해야할 질환은 다양하게 있습니다. 음주를 자주하고, 속이자주쓰리고, 생활이 불규칙한 경우 위산이 역류하여 식도를 자극하여 기침과 가래를 만들어내는 '역류성식도염' 과 계절성이나 일과성으로 알레르기로 생기는 맑은 가래인 '알레르기 비염', 알레르기가 폐를 좁게 만들어 기관지의 기능을 방해하는 경우 '천식' 등 꼭 감별해야합니다.


목감(인후두염)기나 기관지염은 세균이나 바이러스에 의해 생기는데, 이번 코로나 바이러스처럼 호흡기계 감염을 일으키는 원인은 90%이상이 바이러스가 원인인 경우가 대부분입니다. 바이러스는 사람과 사람에게로 직접 전염됩니다.

기관지염은 코와 목에서 생겼던 바이러스 감염인 ‘상기도감염’ 이 아닌 ‘하기도감염’ 이 시작되었다고 볼 수 있습니다. 단독으로 오기도 하지만 추가적으로 진행되어 오기도 합니다. 원칙적으로 하기도 감염이 생겼다는 것은 치료가 상기도 보다는 어려워질 수 있다는 것 입니다.
기침이 만성적으로 변했다고 생각이 되면 아래와 같은 질환들과 감별이 꼭 필요합니다.

따라서 내가 기관지염 인 것 같다 하시는 분들은 충분한 휴식과 습도조절을 한 상태에서, 증상을 완화시킬 수 있는 약들을 이용해서 증상조절을 하며 다른 질병과 감별을 해야합니다.
약물치료는 기관지 확장제, 객담 제거제, 진통제 등으로 시행해 볼 수 있습니다. 항생제는 대부분 사용안하는 것이 원칙이나, 가래가 누렇게 변한다는 등 추가적인 감염소견이 발견되면 사용해 볼 수 있습니다.
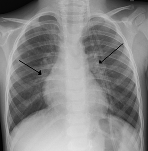
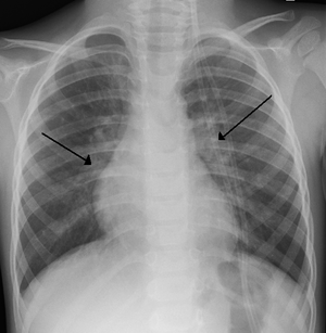
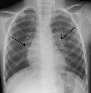
기관지염이 오래되게 되면 기관지가 늘어난 상태를 유지하게되어, 기관지확장증 이 생길 수도 있습니다. 넓어진 폐포를 생각하면, 기능이 많이 떨어지게 되고, 가래가 만성적으로 늘게되고 가래도 많이 늘게되는 것 입니다. 증상은 주로 기침과 누런가래가 나오게 됩니다. 폐는 한번 망가지면, 그전의 기능으로 돌아오기 힘들기 때문에 초기에 관리를 잘해주어야합니다.
마지막으로, 폐 및 호흡관련된 기관의 해부학적인 모습을 공유하고 글을 맞치도록 하겠습니다.

폐(허파)는 공기가 통하는 주머니라고 보면 됩니다.


도움이 많이 되셨길 바랍니다.
'보건의료' 카테고리의 다른 글
| 에어컨을 틀었는데 기침이 나요! 여름철 주의하세요 '에어컨 알레르기' (1) | 2020.06.09 |
|---|---|
| 어지럽고 두통이 있어요! 어지러움을 유발하는 질병들 (0) | 2020.06.05 |
| 봄, 가을만되면 시작되는 알러지! '알레르기 비염/결막염' 알아봅시다. (0) | 2020.05.29 |
| 코로나 바이러스와 감기 증상으로 구분할 수 있을까? (0) | 2020.05.25 |
| 손발톱이 간지러워요! '무좀' 치료 가이드라인 tinea pedis, onychomycosis (0) | 2020.05.21 |
댓글