1985년도에 생긴 stage system입니다.
X-ray 가 도입되고 의학이 기하급수적으로 팽창할 때, 이러한 분류 시스템도 자연스럽게 생겨나며, 그 이름을 만든 사람이름을 따서 분류가 지어지게 됩니다.
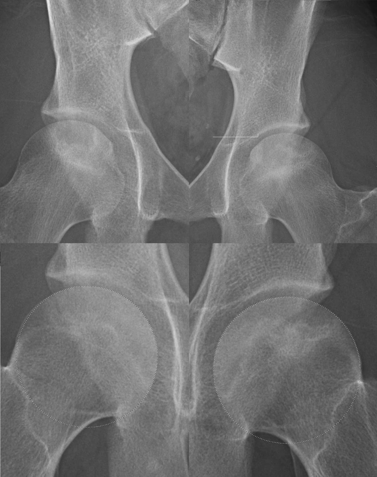
소아에서의 골괴사(LCP)와 성인(AVN)에서의 골괴사의 양상은 다소 다르나 비슷하게 생각해보면 '혈류'의 부재 혹은 '관절염' 등이 심해져서 원래 위치하고 있어야하는 뼈들의 소실을 확인하게 되는 과정입니다.

과거 Ficat stage 표를 보게되면
0단계를 따로 나누기도 하지만 0~1단계는 거의 정상인 상태,
2단계 부터는 뼈가 누르는 압력등으로 인해 '골경화'가 시작되는 상태입니다. Pre-collapse 라고 불리우기도 합니다.
3단계 부터는 뼈가 누르는 압력으로 인해 Crescent sign 이 보이는 시기입니다.
4단계는 변형이 너무 심해 2차적인 관절염이 생깁니다.


다시한번 정리해보면
Stage 0 – Silent hip (Pre-clinical and Pre-radiographic)
Stage I – Suggestive clinically (Pre-radiographic)
Stage IIA – Sclerosis or Subchondral cysts (Pre-collapse)
Stage IIB – Subchondral fracture/crescent sign (Transition)
Stage III – Segemental flattening and Sphericity loss/out of round appearance (Collapse)
Stage IV – Space loss, Secondary osteoarthritis – may involve acetabulum (Advanced arthritis)

1단계는 MRI를 꼭 확인해서 골부종이 있는지 확인을 해보아야 하고
엑스레이에서는 2단계부터 확인을 할 수가 있습니다.
2B 부터 초승달 모양의 Crescent sign 이 확인되며
3단계부터는 골두의 심한 변형이 동반되어 보행시 절뚝거림이 시작될 수 있습니다.
4단계는 비구까지 영향을 준 상태로 인공관절 치환술이 필요할 수 있습니다.

도움이 많이 되셨길 바랍니다 :)
'고관절' 카테고리의 다른 글
| [전문] 비구 골절 (acetabulum fracture)의 분류 중요합니다. (0) | 2020.11.28 |
|---|---|
| [전문] 고관절 수술적인 접근방법. Surgical Approach (0) | 2020.11.27 |
| 양극성 인공관절 반치환술 Bipolar hemiarthroplasty (BHA) 란 무엇일까? (0) | 2020.11.24 |
| 손흥민 선수의 부상! '햄스트링 손상' (Hamstring muscle injury) 에 대해 알아봅시다! (0) | 2020.09.28 |
| 부모님이 넘어지셨는데 대퇴골 골절이래요! 대퇴골 골절에 대해 알아봅시다. (0) | 2020.06.06 |
댓글