생물을 분류할때 종속과목강문계 로 분류하듯, '암'을 분류할때도 그 특성이나 성질에 따라 분류를 하게 됩니다. 일단 발생학적으로 내배엽, 중배엽, 외배엽에서 발생을 하는데, 중배엽에서는 결합조직이나 연골, 골, 혈관, 림프관, 근육, 혈액세포 등에 해당됩니다. 정형외과에서 보는 '종양' 들은 대게 여기에 속합니다. 피부나 신경, 신경막은 '외배엽' 에서 발생합니다.


종양(Tumor)는 말그대로 세포분열이 정상이상으로 이뤄지게되어 세포수가 급격하게 늘어나게 되면서, 비정상적으로 늘어나거나 전이되게 됩니다. 림프를 통해 전이되는 종양을 암종(carcinoma), 혈행을 통해 전이되는 종양을 육종(sarcoma)라고 합니다.
종양은 크게 양성종양과 악성종양으로 나뉠 수 있는데, 악성종양은 다른 장소로 이동하여 독립된 종양을 발생 시킬 수 있습니다. 양성종양과 악성종양을 분류했으면 그 안에서 어떤 '형성된 기질' 에 따라 나뉠 수 있습니다. 양성종양의 경우 골종, 골연골종, 골섬유종 등과 같이 악성종양의 경우 골육종, 연골육종, 섬유육종, 낭종, 기타(miscellaneous)로 나뉠 수 있습니다. 분류가 워낙 다양하고 많기 때문에 표 등으로 정리해서 보는 것을 추천합니다. (세계보건기구의 분류표는 기질에 따른 분류로만 일단 나누어져 있습니다. 물론 골연부종양의 발생위치나, 발생연령에 따라 재분류 할 수도 있습니다. )


임상에서 종양을 찾게되는 과정은 '종양을 발견' 한 후에 다양한 '검체채취(biopsy)' 방법을 통해 '종양의 기질이나 형태, 악성도' 등을 파악하게 되는 retroversion study 와 비슷한 과정을 하게 됩니다. 현미경을 이용하거나, 각종 염색법을 통해 '분류' 를 찾게 되면, 그 분류에 맞는 치료나 임상적인 기록이 있기 때문에 이를 토대로 예후나 상태를 확인할 수 있는 것이지요.


2020/08/21 - [종양] - [전문] 뼈가 자라는 소아, 나이가 들어 세포가 고장나는 고령 '근골격계 종양'
[전문] 뼈가 자라는 소아, 나이가 들어 세포가 고장나는 고령 '근골격계 종양'
이유없는 통증이 시작되고 밤에 주로 심해진다거나, 사지나 척추 등에 종괴가 만저지거나 영상검사에서 확인되면 '근골격계 종양' 을 항상 감별을 하도록 해야합니다. 종양의 경우 '나이' 가 가�
docson.tistory.com
양성골종양
1. 골형성종양(Bone Forming Tumor) :
(1) 유골 골종 (Osteoid osteoma) : 대퇴골 근위부, 1cm 미만의 nidus
(2) 골모세포종 (Osteoblastoma) : 2cm 넘음, 젊은 환자 척추 후궁 (r/o ABC, ostoidosteoma)
(3) 골종 (Osteoma) : 두개골, 안면골, 부비강, 소아
2. 연골형성종양(Cartilage Forming Tumor)
(1) 골연골종 (Osteochondroma)
(2) 다발성 골연골종 (Multiple osteochondroma, osteochondromatosis)
(3) 내연골종 (Enchondroma)
(4) 다발성 내연골종 (Multiple enchondroma, Ollier's ds)
(5) 골막하 연골종 (Periosteal chondroma)
(6) 연골모세포종 (Chondroblastoma)
(7) 연골유점액섬유종 (Chondromyxoid fibroma)
3. 비분류성 양성 골종양
(1) 거대세포종 (Giant cell tumor)
4. 섬유성 병변(Fibrous Lesion)
(1) 비골화성 섬유종 (Nonossifying fibroma)
(2) 섬유성 피질골 결손 (Fibrous cortical defect)
(3) 양성 섬유성 조직구종 (Benign fibrous histiocytoma)
(4) 섬유성 골이형성증 (Fibrous dysplasia)
(5) 골섬유성 이형성증 (Osteofibrious dysplasia)
(6) 결합조직형성 섬유종 (Desomoplastic fibroma)
5. 낭종성 병변(Cystic Lesion)
(1) 고립성 골낭종 (Simple bone cyst, SBC)
(2) 동맥류성 골낭종 (Aneurysmal bone cyst, ABC)
6. 기타 양성 골종양
(1) 골의 혈관종 (Hemangioma of bone)
(2) 사구종 (Glomus tumor)
(3) 골내 지방종 (Intraosseous lipoma)
7. 기타 종양 유사 병변
(1) Langerhans 세포 조직구증 (Langerhans' cell histiocytosis)
(2) 골경색 (Bone infarct)
(3) 골섬 (Bone island)
(4) 조갑하 외골종 (Subungal exostosis)
(5) 기괴방골성골연골종류증식 (Bizarre parosteal osteochondromatous proliferation)
악성골종양
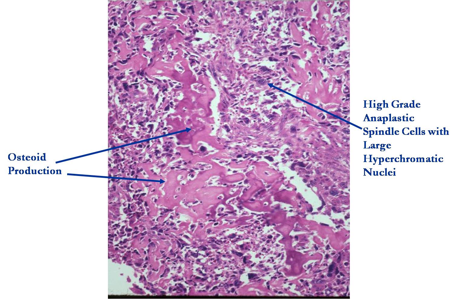
1. 골육종(Osteosarcoma)
2. 표면 골육종(Surface Osteosarcoma)
(1) 방골성 골육종 (Parosteal osteosarcoma) : 악성도 낮음, 20대 여성
(2) 골막성 골육종 (Periosteal osteosarcoma) : 악성도 중등도, 10대
(3) 고등급 표재성 골육종 (High grade surface osteosarcoma)
(4) 모세혈관 확장성 골육종 (Telangiectatic osteosarcoma)
3. 악성 연골종양
(1) 연골육종(Chondrosarcoma)
(2) 간엽성 연골육종 (Mesenchymal chondrosarcoma)
4. 소원형 세포종양 (Small Round Cell Tumor)
(1) 유잉육종 (Ewing's sarcoma)
(2) 원시 신경 외배엽 세포종 (Primitive neuroectodermal tumor of bone)
(3) 악성 골 림프종 (Malignant lymphoma of bone)
(4) 다발성 골수종 (Multiple myeloma)
5. 섬유 조직 기원 골종양
(1) 섬유육종 (Fibrosarcoma)
(2) 악성 섬유성 조직구종 (Malignant fibrous histiocytoma)
6. 기원 불명인 골종양
(1) 척색종 (Chordoma)
(2) 법랑종 (Adamantinoma of long bone)
전이성 골종양
연부조직 양성종양
1. 지방종양 (Tumors of Adipose Tissue)
(1) 지방종 (Lipoma)
2. 혈관종양 (Vascular Tumor)
(1) 혈관종 (Hemangioma), 혈관기형 (Vascular malformation)
(2) 사구종 (Glomus tumor)
(3) 혈관내피종 (Hemangioendothelioma)
(4) 혈관외피세포종 (Hemangiopericytoma)
3. 림프종양 (Tumors of Lymph Vessels)
(1) 림프관종 (Lymphangioma)
4. 섬유조직종양 (Tumors of Fibrous Tissue)
(1) 섬유종 (Fibroma)
(2) 섬유종증 (Fibromatosis)
5. 근육종양 (Tumors of Muscle)
(1) 평활근 양성종양 (Benign tumor of smooth muscle) : 피부 평활근종(Leiomyoma), 혈관 평활근종, 심부조직 평활근종
(2) 횡문근 양성 종양 (Benign tumor of striated muscle tissue) : 횡문근종(Rhabdomyoma), 생식기 횡문근종
6. 말초신경 종양 (Tumors of Peripheral Nerve)
(1) 신경초종 (Neurilemmoma, Schwannoma)
(2) 신경섬유종 (Neurofibroma)
7. 활막 종양 (Tumors of Synovial Tissue)
(1) 종양 유사 질환 : 결절종(Ganglion), 활막성 연골종증(Synovial chondromatosis)
8. 조직구 종양 (Tumors of Histiocytic Origin)
(1) 종양 유사 질환 : 색소 융모 결절성 활액막염 (Pigmented Vilonodular synovitis), 건막 거대세포종(Giant cell tumor of tendon sheath)
(2) 섬유성 조직구종 (Fibrous histiocytoma) : 양성 섬유성 조직구종
9. 기원이 불명인 양성 연부조직 종양
근육내 점액종(Intramuscular myxoma)
관절주위 점액종(Juxta-articular myxoma)
심부의 공격성 혈관 점액종(Deep aggressive angiomyxoma)
과립세포근모세포종(Granular cell myoblastoma)
골격 외 연골종 (Extraskeletal chondroma)
혈관성 섬유 조직구증 (Angiomatoid fibrous histiocytoma)
골화성 섬유점액 종양(Ossfying fibromyxoid tumor)
연부조직 악성종양
1. 지방육종 (Liposarcoma) : well-differentiated, myxoid(TLS/CHOP), round cell, dedifferentiated, pleomorphic
2. 활막육종 (Synovial Sarcoma)
3. 횡문근육종 (Rhabdomyosarcoma)
4. 평활근육종 (Leiomyosarcoma)
5. 미분화 다형태육종 (Undifferentiated Pleomorphic Sarcoma)
6. 점액성 섬유육종 (Myxofibrosarcoma)
7. 악성 말초신경 종양 (Malignant Peripheral Nerve Sheath Tumor)
8. 포상연부육종 (Alveolar Soft Part Sarcoma)
9. 상피양육종 (Epithelioid Sarcoma)
10. 투명세포육종 (Clear Cell Sarcoma)
11. 상피모양혈관내피종 (Epithelioid Hemangioendothelioma)
12. 혈관육종 (Angiosarcoma)
13. 섬유육종 (Adult Fibrosarcoma)
14. 골외성 골육종 (Extraskeletal Osteosarcoma)
15. 골외성 연골육종 (Extraskeletal Chondrosarcoma)
정리를 하고 나니 의대 병리학 수업이 떠오르는 그런 느낌입니다 ㅎㅎ
도움이 많이 되시길 바랍니다 : )
'종양' 카테고리의 다른 글
| 악성 골 종양 중 가장 흔한 '전이암종(Metastatic carcinoma)' (0) | 2021.01.09 |
|---|---|
| [전문] 종양의 단계를 나눌 수 있는 지도 'Enneking system, AJCC system' (0) | 2020.12.21 |
| [전문] '종양의 절제'는 다음과 같이 4가지 방식으로 진행합니다. (0) | 2020.11.02 |
| [전문] 뼈가 자라는 소아, 나이가 들어 세포가 고장나는 고령 '근골격계 종양' (0) | 2020.08.21 |
댓글