2020/10/20 - [종양] - [전문] 골, 연부조직 종양 - 종류를 먼저 아는 것이 중요합니다.
[전문] 골, 연부조직 종양 - 종류를 먼저 아는 것이 중요합니다.
생물을 분류할때 종속과목강문계 로 분류하듯, '암'을 분류할때도 그 특성이나 성질에 따라 분류를 하게 됩니다. 일단 발생학적으로 내배엽, 중배엽, 외배엽에서 발생을 하는데, 중배엽에서는
docson.tistory.com
이전에 분류한 골종양, 연부조직종양 등에서 양성과 악성으로 나뉠 수 있다 설명드렸습니다.
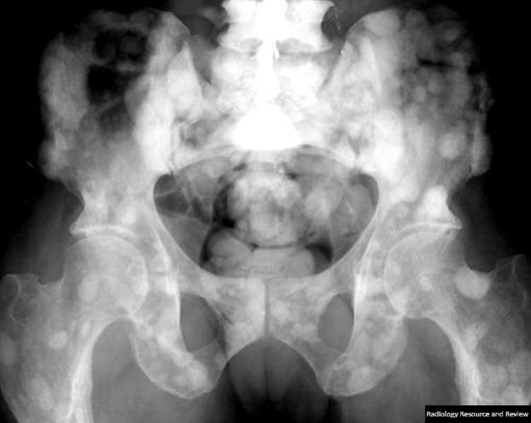
오늘은 골전이의 가장 치료가 어렵고 힘든 종양을 소개해드리려 합니다. 드라마에서 나오는 것처럼 여러군대 암이 퍼져있는 경우가 많으며 예후가 좋지 않습니다.

암에 대한 연구는 바이오 기술 분야에서 가장 많이 발전하고 있고, 앞으로도 많이 발전할 분야라고 생각합니다. 조직 어느 한 부분에서 시작된 종양은 '고장난 공장' 이라고 생각하시면 쉽습니다. 조직이 계속해서 자신을 복사해내게 되는 과정은 나이가 들면서 혹은 어릴때 성장하게 되면서 고장이 나게 됩니다.
골 전이를 잘 일으키는 원발성 종양으로는 유방암, 전립선암, 폐암, 신장암 등이 있습니다.
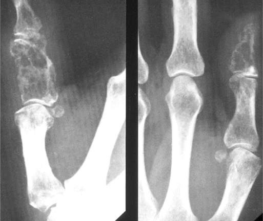
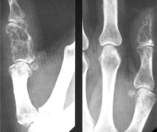
골 용해성 병변(Osteolytic)이 관찰된다면 : 신장암, 갑상선암, 위, 대장암 을 생각해 보아야 합니다.
(단발성 전이의 경우 신장암, 갑상선암에서는 전이 병소의 절제가 생존율 향상에 도움이 됩니다. 신장, 갑상선암은 혈관이 풍부하므로 선택적 동맥색전술을 예방적으로 하고 절제술을 하는 것이 안전합니다.)
조골성 병변(Osteoblastic)이 관찰된다면 : 전립선암, 방광암, 자궁암 을 생각해 보아야 하며
혼합성 병변이 관찰된다면 : 유방암 을 생각해보아야 합니다.
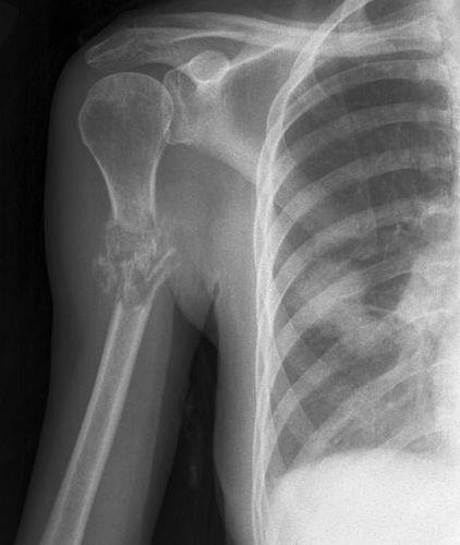
상지의 골병변은 폐암과 유방암일 확률이 높습니다.
골 전이를 잘 일으키는 원발성 암은 유방암(mammogram)과 전립선암(PSA)이며
병소를 모르는 경우 폐암(m/c)과 신장암을 꼭 먼저 확인해야합니다.




원발 종양의 위치를 찾는 것이 중요합니다.


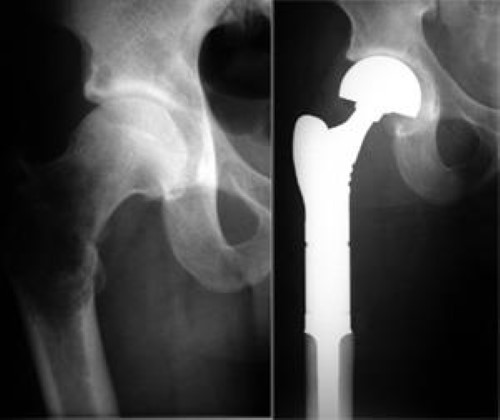
전이성 골종양의 경우 영상과 같이 치료가 무척 어렵습니다. 지푸라기라도 잡는 마음으로 방사선치료와 항암화학요법을 할 수 있습니다. 5년 생존율이 높아 보이는 환자군에서 장관골과 골반골의 임박 골절, 병적 골절 에는 예방적 고정술을 해볼 수 있습니다. (RT에도 효과가 없고, 2.5cm 정도로 큰 사이즈와 cortex가 50%이상 파괴되어 부러지기 직전일때, 소전자의 견열골절이 있을때 = Mirel 8점이상)

'종양' 카테고리의 다른 글
| [전문] 종양의 단계를 나눌 수 있는 지도 'Enneking system, AJCC system' (0) | 2020.12.21 |
|---|---|
| [전문] '종양의 절제'는 다음과 같이 4가지 방식으로 진행합니다. (0) | 2020.11.02 |
| [전문] 골, 연부조직 종양 - 종류를 먼저 아는 것이 중요합니다. (2) | 2020.10.20 |
| [전문] 뼈가 자라는 소아, 나이가 들어 세포가 고장나는 고령 '근골격계 종양' (0) | 2020.08.21 |
댓글