젊은 환자분들중에 넘어지고나서 손을 짚고나서 대수롭지 않게 생각하다가 바로 이 골절로 인해 고생하는 환자들이 꽤 있습니다.

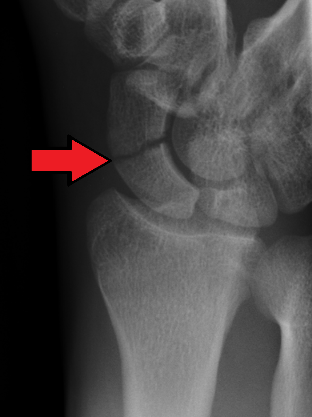
골치아픈 골절이 될 가능성 이 높은 ‘주상골 골절' 입니다. 엄지손가락 뼈와 연결되어 있는 '큰마름뼈' 안쪽에 있는 뼈 입니다.

이 배모양의 뼈가 이야기되는 이유는 생각보다 많은 환자분들이 골절인지 놓치기 쉽기도 하며, 불유합이 되기 쉬운 뼈이기 때문입니다. 손의 골절중에는 가장 흔한 골절로서, 진단이 늦어지면 치료도 늦어지게 됩니다. 즉, 진료를 받지 않는다면 예후가 나빠지는 경우가 많습니다. 따라서, 손목을 삐었는데 좀 심하게 삐엇다 싶으면 무조건 영상의학적 검사(X-ray)를 시행해 보아야 합니다. 특이한 점은 처음 시행한 엑스레이에서 '음성' 이 나왔더라도, 통증이 계속되거나 이 주상골 골절이 의심되는 경우에는 '2주 후'에 엑스레이를 다시 찍어볼 필요가 있습니다.

골절은 대게 Waist 라고 불리는 가운데 부분에서 진행되는 경우가 많으며(2), 10%는 근위부(1), 나머지 극소수(3)에서는 원위부에서 이러한 골절이 이러나게 됩니다.
진단은 Anatomical Snuff Box 라고 불리는 부위에 통증이 있으며 주상골을 눌러보았을 때 통증이 있는 경우 임상적으로 진단이 가능하며, 초기 방사선 사진에서는 골절이 보이지 않더라도 반드시 2주 뒤 2차 방사선 사진을 촬영하여야 합니다. MRI 에서 모호한 골절의 경우 2.8일이 경과한 후에 가돌리늄을 이용해 증강시켜 골절을 확인할 수 있습니다. (혈류량을 확인해 볼 수도 있습니다)


분류는 Herbert Classification 을 통해 분류할 수 있습니다.

A부터 D 타입으로 나눌 수 가 있는데
A의 경우 급성 안정골절, B의 경우 급성 불안전 골절, C의 경우 지연유합, D의 경우 불유합 으로 나뉠 수 있습니다.
불안정한 급성골절인 B의 경우 수술적 치료가 필요한 경우가 많기 때문에 주의깊게 보아야 합니다.
불안정과 전위를 나누는 기준은 다음과 같습니다.
(1) 골절 조각의 범위가 1mm 이상 늘어난 경우 (전후면이나 사선 엑스레이에서)
(2) Lunocapitate 각이 15도 이상인 경우(측면)
(3) Scapholunate 각이 45도 이상인 경우 (측면)
(4) Intrascaphoid 각이 45도 이상인 경우 (측면) or 35도 이하인 경우(전후면)
(5) height-to-length 비율이 0.65 이상인 경우

주상골 골절의 가장 큰 골치아픈 점은 불유합이나 무혈성괴사 가 발생할 수 있다는 것입니다.
전방부 쪽으로는 : Superficial palmar br. of radial artery 가 20~30% 혈류를 공급하며
후방부 쪽으로는 Dorsal carpal br. of radial a. 가 70~80% 혈류를 공급합니다.
Waist 에서 Proximal에 가까이 골절될 수록 혈행 공급이 줄어들거나 차단이 될 수 있어, 지연유합이나, 불유합, 근위 골절편의 무혈성 괴사를 꼭 의심해보아야 합니다.

치료는 위의 Herbert 분류에 따라 각각 다를 수 있습니다.


Herbert A의 경우 경과관찰(캐스트, 롱암썸스피카) 을 하여도 유합되는 경우가 많지만 근위 첨부의 골절의 경우 전위 유무와 상관없이 불안전성으로 간주하고 후방도달법을 이용해 수술적 치료를 하여야 합니다.
Herbert B의 경우 전위가 없거나, 최소한의 전위가 있는 경우 경피적 나사고정을 시행해 볼 수 있습니다. 하지만 전위가 있거나 불안정한 경우, 정확한 정복술과 함께 관혈적나사내고정술이 시행되어야 합니다. 내고정 기기로는 K강선이나, Acutrak 나사, Herbert 나사, AO compression screw 등을 사용할 수 있습니다. 관혈적 정복술로는 Waist나 distal 1/3 골절의 경우 Volar approach를, Proximal pole 골절의 경우는 Dorsal approach를 시행할 수 있습니다. (혈관은 손등쪽에 위치하므로 주의하여야 하며 골이식이 필요한 경우에는 Volar approach 를 이용할 수 있습니다.)
도움이 많이 되셨길 바랍니다 :)
댓글