
성인과 다르게 소아에서 골절이 있는 경우는 몇 가지 추가적으로 고려해야할 것이 있습니다.
가장 중요하게 생각할 것은 성장판 의 침범 여부입니다. 말 그대로 성장을 하는 곳이기 때문에 손상이 되면 손상부위는 손상을 멈출 수가 있기 때문에 추후 성인이 되었을 때 뼈의 변형 및 단축의 원인이 될 수 있습니다. 성장판 부위는 주로 장골의 끝 부분에 위치하게 되는데, 뼈의 가운데가 부러지는 간부 골절은 예후가 훨씬더 좋은 이유입니다.


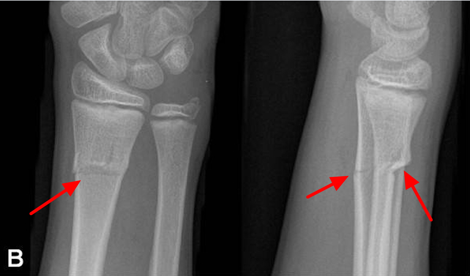
골막이 두껍고 뼈가 유연하기 때문에 뼈가 한쪽 만 부러지는 경우가 생기는데 패이는 형태의 green stick fracture 나 한쪽 피질 골이 접히는 것처럼 보이는 Torus fracture 등의 형태로 성인에서 볼 수 없는 골절 양상이 생길 수 있습니다. 또한, 가소성이 매우 높기 때문에 Wolf's law 등을 고려해 보았을 때 어느정도 근육과 해부학적인 힘의 매커니즘 형태로 (주로 이전의 모습) 복구하려는 모습을 보일 수 있습니다. 골절의 변형 규모가 매우 커도 단순한 석고고정 치료만으로도 치료가 가능한 이유입니다. 물론, 이러한 치료 판단 기준은 반드시 정형외과 전문의를 통해 이루어져야 합니다.


골절의 부위, 양상, 범위에 따라 치료가 각각 달라지는 소아골절 입니다.

골절 후 회복되는 과정에서 과성장이 일어나기도 하며, 재형성(remodelling) 이 일어나므로 회복을 잘 관찰하도록 해야합니다.
또한 성인에 비하여 고정 유지나, 치료를 메뉴얼 대로 따르지 않아 힘들 수도 있겠습니다 ㅎㅎ
하지만 소아의 뼈도 성인의 뼈와 마찬가지로 뼈가 유합되는 과정이 반드시 필요하기 때문에 치료에 조금더 신경이 많이 써야할 것 같습니다.
:-)
'소아' 카테고리의 다른 글
| [전문] 소아 대퇴골과, 경골 간부, 상완골, 전완골의 골절 허용각 (0) | 2021.01.20 |
|---|---|
| [전문] 소아 하지의 회전변형 5가지 동적 검사를 해봐야합니다. (0) | 2021.01.07 |
| [전문] 아이의 고관절이 빠져있대요! DDH(Developmental Dysplasia of the Hip)의 '골반 절골술'에 대해 알아봅시다. (0) | 2020.12.14 |
| [전문] 미성숙한 뇌로 일상생활이 힘들어요. ' 소아마비' Cerebral palsy (0) | 2020.12.12 |
| [전문] 아이의 대퇴골두가 괴사되고 있대요! 'LCP disease (Legg-Calve'-Perthes) (0) | 2020.11.21 |
댓글