

날씨가 좋아지면서 골프를 즐기는 젊은 층이 많이 늘었습니다.
나이가 든 사람들의 골프스윙과 다르게 젊은 연령층의 스윙은 골프 스피드도 매우 빠를 뿐더러, 힘도 강합니다.
당연히 척추와 골반의 회전운동인 만큼 우리몸을 밴드처럼 보호하고 있는 갈비뼈 는 이런 회전력에 취약할 수 밖에 없습니다.

갈비뼈 골절은 그럼 왜 생기는 것일까요?
일단 해부학적으로 이해가 필요합니다. 정형외과적으로는 견관절 움직임에 대해서는 매우 전문적이지만, 갈비뼈에 대해서는 특별한 고려를 하고 있지 않으나, 모두 연관되어 있습니다. 농구나, 야구 같은 운동에서는 제1갈비뼈 피로골절이 생기는 경우가 많습니다만 골프는 하부 갈비뼈에서 골절이 주로 생깁니다.


견갑골과 갈비뼈를 이어주는 Serratus anterior muscle 과 Rhomboid 안쪽 근육, Scapula 의 움직임 등으로 Rib cage 가 영향을 받을 수 있습니다. 행군을 많이하는 군인에게서 발목에 골절이 생기는 원리와 같습니다. 주로 나이가 든 분이나 여성에서는 앞쪽이나 근육 부착부위의 갈비뼈(4-9th)에 골절이 생기며, 남성에서 과하게 스윙 후 finish 를 하는 경우에는 좌측 견갑골과 갈비뼈의 충돌로 좌측 등쪽의 갈비뼈에 골절이 생깁니다. 프로 골퍼의 연습량이 늘었을때나, 주로 초보 골퍼에게서 후방 안쪽의 골절이 생깁니다.


외상의 골절과는 다르게 여러개의 뼈가 부러지는 형태가 아닌 단일뼈가 부러지는 형태의
피로골절 형태의 골절이 생기는 경우가 많습니다.


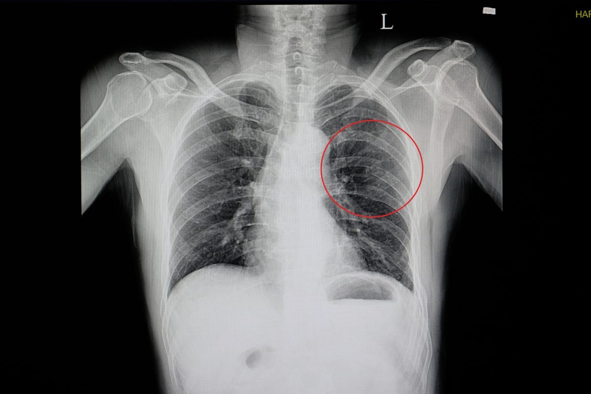
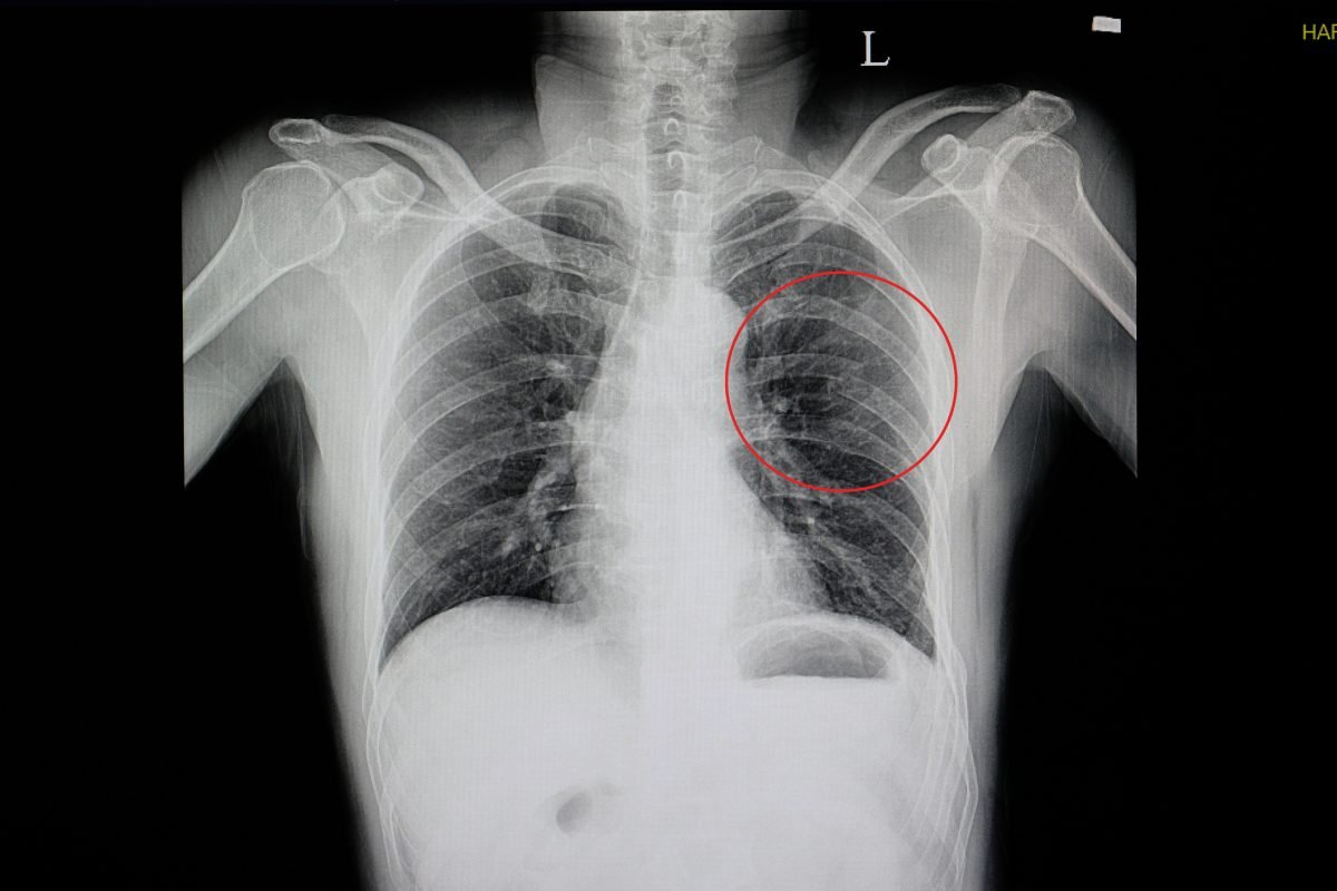
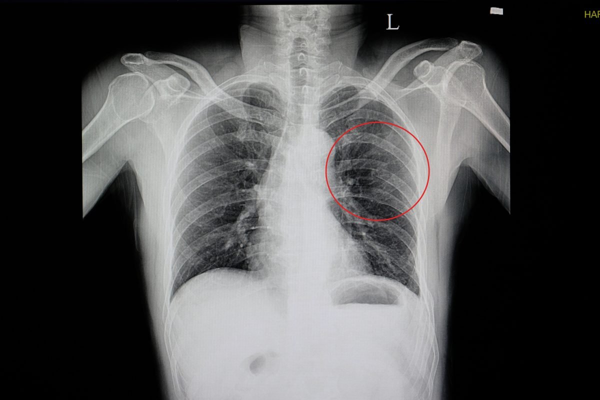
진단은 물론 X-ray 나 CT, bone scan 같은 영상검사로 하게 되지만
임상적으로 지속적인 minor 한 통증이 지속되며, 숨을 들이마시는 등의 흉곽을 팽창하는 조건을 보일 경우 통증이 악화되거나 재현될 수 있습니다.





골절이 생긴 후에 회복이 되는 경우에도 엑스레이에는 유합된 흔적이 남을 수 있습니다.
충분한 휴식을 당연히 취해야하며, 진통제(NSAID)를 복용하고 4~6주는 휴식을 취해야 합니다.
대게의 골절의 경우 통증 조절 및 골유합을 기다리게 되며 수술이나 시술적인 치료는 잘 하지 않습니다.
프로의 경우 자세를 꼭 고쳐야 합니다. (correction of training errors or faulty mechanics.)
도움이 많이 되셨길 바랍니다 : )
'보건의료' 카테고리의 다른 글
| 비만한 환자, 공부하는 학생, 하루종일 앉아있는 직장인들 에게 생길 수 있는 '엉덩이 종기 및 모소동' (0) | 2021.06.04 |
|---|---|
| 치매가 심해지기 전에 확인해야할 '치매 초기 증상' 10가지 (0) | 2021.05.24 |
| 중성지방이 높아요! 구조를 이해하고 생활습관을 조절합시다. (0) | 2021.04.09 |
| 부모님의 손이 덜덜 떨리고 많이 경직되어있어요! 치매 다음으로 많은 '파킨슨병(PD, Parkinson disease) (0) | 2021.04.05 |
| 코로나19 백신 아나필락시스 응급처치 가이드 (0) | 2021.04.02 |
댓글