육체노동을 많이하는 남자에서 생기는 질환입니다. ulnar impaction syndrome 과는 반대로 ulna variance가 음성인 경우가 많으며
정맥 관류 차단에 의한 골내압력증가로 인하여 괴사가 진행된다고 추측하고 있는 질병입니다.


증상으로는 파악력이 감소되며 수근 관절 굴곡 제한이 많이 있습니다.

치료가 단계마다 다르기 때문에 분류가 중요합니다.
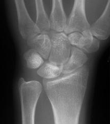
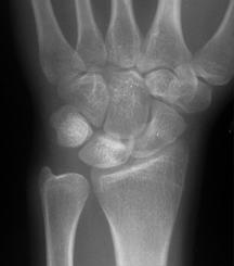
Lunate 의 sclerosis가 발견되면 Stage II 이며 Joint leveling 이 핵심입니다. ulna 변위가 중립 혹은 양성인 경우에는 radial wedge osteotomy나 그 외의 치료를 시행해 볼 수 있습니다.
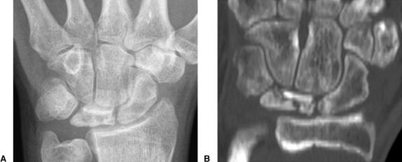
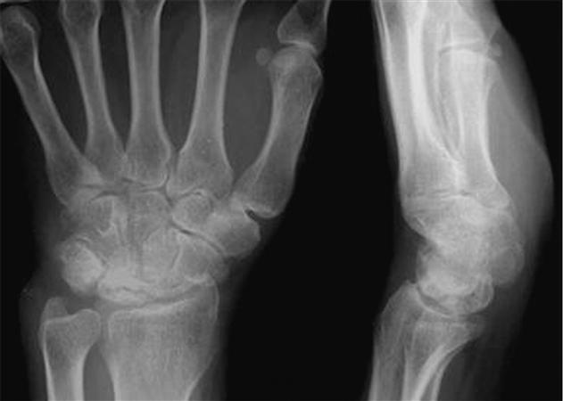
Stage III 부터는 주상골도 영향을 받기 시작하며 회전을 하거나(IIIA, cortical ring 관찰가능), carpal height 가 줄어드는 것을 확인할 수 있습니다. (IIIB), IIIA 까지는 II와 치료를 거의 동일하게 하지만, IIIB 부터는 Proximal row carpectomy 나 STT, SC fusion 등을 시행해 볼 수 있습니다.

단계별로 보면 다음과 같습니다.





치료 중에 IIIB 부터 시행하는 치료는 아래와 같습니다.




도움이 많이 되셨길 바랍니다.
'수부' 카테고리의 다른 글
| 손목 내시경 포탈 Wrist arthroscopy portals (0) | 2021.03.31 |
|---|---|
| [전문] 엄지손가락이 작거나 없어요! Blauth classification과 Pollicization (0) | 2021.02.08 |
| [전문] 신경손상으로 손목이 펴지지가 않을때 마지막으로 할 수 있는 인대 전이술(tendon transfer) (1) | 2020.12.26 |
| [전문] 네번째 손가락이 굽어져요! 근막의 양성 증식증인 '듀피트렝 구축(Dupuyutren's Disease, DD) (0) | 2020.12.26 |
| [전문] 손가락 피는 인대에는 '6개의 구역' 이 존재합니다. 'extensor group/compartment' (0) | 2020.10.19 |
댓글