사지 부동은 정형외과에서 생각보다 많이 접하게 되는 문제 중 하나 입니다. 2cm 이내의 차이일 때는 증상이 없기 때문에 우연히 발견되는 경우가 많습니다. 상지의 부동은 부동이 있더라도 문제가 없는 경우가 많기 때문에, 상지의 기형적인 부동 외에는 '사지부동'이라고 하면 '하지부동' 이라고 생각할 수 있습니다.


사지 부동의 원인은 정상 측을 기준으로 단축된 경우와, 증가된 경우로 나눌 수 있습니다.
단축된 경우는 선천성 하지결손, 외상에 의한 부정유합, 성장판 조기유합, 감염, 종양, 방사선조사, Blount씨 병, Legg-Calve-Perthes 병, 대퇴골두 골단불리로 인한 성장판의 손상(SCFE), 비대칭적 신경마비(편측 수막류, 소아마비, 뇌성마비), 특발성 혹은 Russel-Silver 증후군, 편측 만곡족, 선천성 결골 가관절증 등이 있습니다.
증가된 경우는 골수염 치료 및 경골이나 대퇴골 골절 치료후 혈행 증가, 신경섬유종증과 연관된 거인증, Klippel-Trenaunay 증후군, Beckwith-Wiedemann 증후군, Proteus 증후군, 특발성 편비대증 과 같은 연부조직 과성장 증후구, 연소기형 류마티스 관절염, 혈우병 등과 같은 만성 염증성 질환, 종양 등이 원인이 될 수 있습니다.
대게 2cm 이내의 사지 부동은 성장이나 환경 등의 영향으로, 척추의 측만이나 뼈의 만곡 등으로 생기기도 합니다.

이러한 사지부동은 기능이나 외모에 큰 지장이 없기 때문에 문제가 거의 없습니다. 하지만 소아에서 단축된 하지의 발뒤축접지 없이 첨족보행을 통한 보상성 보행을 하게 되고, 긴다리의 외반슬 또는 내반슬 변형이 발생할 수 있습니다. 어른의 경우에는 단축된 하지의 발뒤축접지를 하여 장측의 입각기에 도약하면서 보행하기 때문에, 골반의 수직운동이 심하게 일어나 보행에 에너지가 많이 소모되고, 심한 부동이 장시간 지속 시 보상성 척추 측만증이 일어나거나 척추의 운동성 감소, 요통이 생길 수 있습니다.
보통 2~2.5cm 이상 다리길이가 차이가 난다면 치료가 필요합니다. 3cm 이상 차이가 나면 보행에 어려움이 생깁니다.
하지부동이 있는지 확인하는 방법은 임상적과 방사선적 평가 두개로 시행하게 됩니다.
임상적으로는 나무 블럭을 놓아, 블럭의 두께를 측정하게 됩니다. 골반 발달이 비대칭적이거나 골반경사가 있는 경우는 부적절 합니다. 성장기 아동에서도 연장이나 단축의 양을 결정하는 목표로 사용할 수 없습니다.

줄자를 이용해서 ASIS에서 부터 진성길이를 측정하는 SMD(spine malleolar distance)나 현성길이 UMD(umbilicus maleollar distance) 를 측정할 수 있습니다. 현성길이는 골반경사가 존재할 경우, 정확도가 감소하므로 신뢰성이 떨어집니다. 하지의 회전변형, 각 변형, 족부의 크기와 높이차이, 척추 측만, 골반 경사, 관절 구추, 관절 운동성의 감소 유무, 근력 약화, 마비 등도 관찰하도록 해야합니다.

방사선적으로는 원격 방사선 촬영법, 수직방사선 촬영법, 주사 촬영법, 전산화 주사 방사선 촬영법, 컴퓨터 주사 촬영법 등이 있습니다.
치료는 4가지 방법이 가능합니다.
1. 신발 고정이나 보장구 장착
2. 장측의 골단판 유합술
3. 장축의 골 단축술
4. 단측의 골 연장술
일반적으로 2cm 미만의 부동은 치료하지 않거나 shoe lift 를 사용할 수 있으며
2~5cm 차이는 성인에서는 골 단축술, 성장기에서는 골단판 고정술
5cm 이상 차이는 골연장술
15cm 이상의 차이는 의자착용 이 필요합니다.
(환자의 연령이나 키 정도에 따라 치료 방법의 적용을 변경할 수 있습니다.)
| 하지부동정도 | 2~5(6)cm | 5(6)~7.5cm | 7.5~10cm | 10~15cm | 15cm 초과 | |
| 성인환자 | 골단축술 | 골연장술 | 골연장술 | 골연장술+골단축술 | 절단술+의지장착 | |
| 성장기환자 | 키가 큰 경우(+2SD) | 골단판유합술 | 골단판유합술 | 골단판유합술+골단축술 | 골단판유합술+골연장술 | |
| 평균 | 골단판유합술 | 골연장술 | 골연장술 | 골연장술 | 골연장술+골단축술 | |
| 키가 작은 경우(-2SD) | 골연장술 | 골연장술 | 골연장술(2회) | 골연장술(2회) | 절단술+의지장착 |

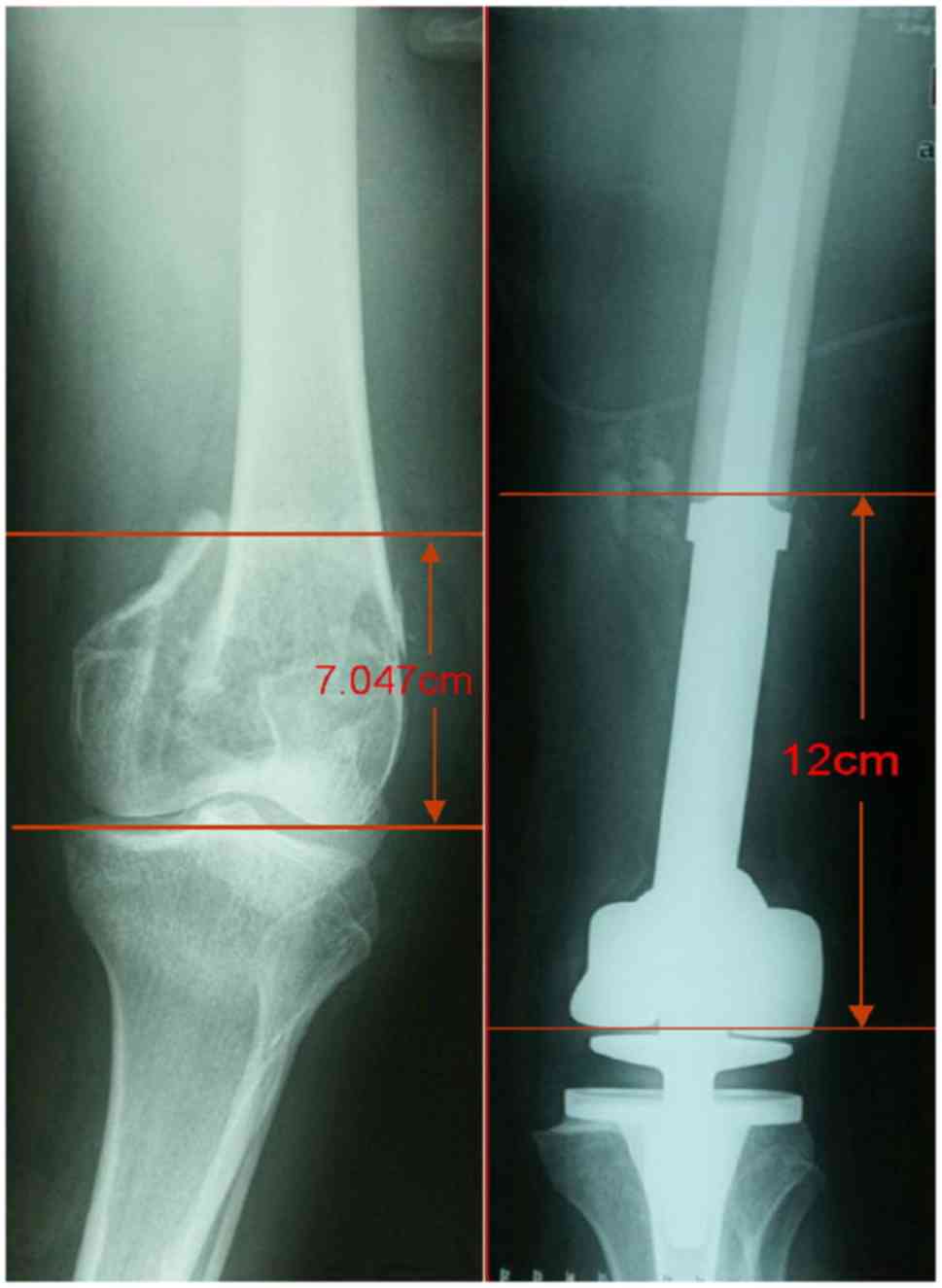
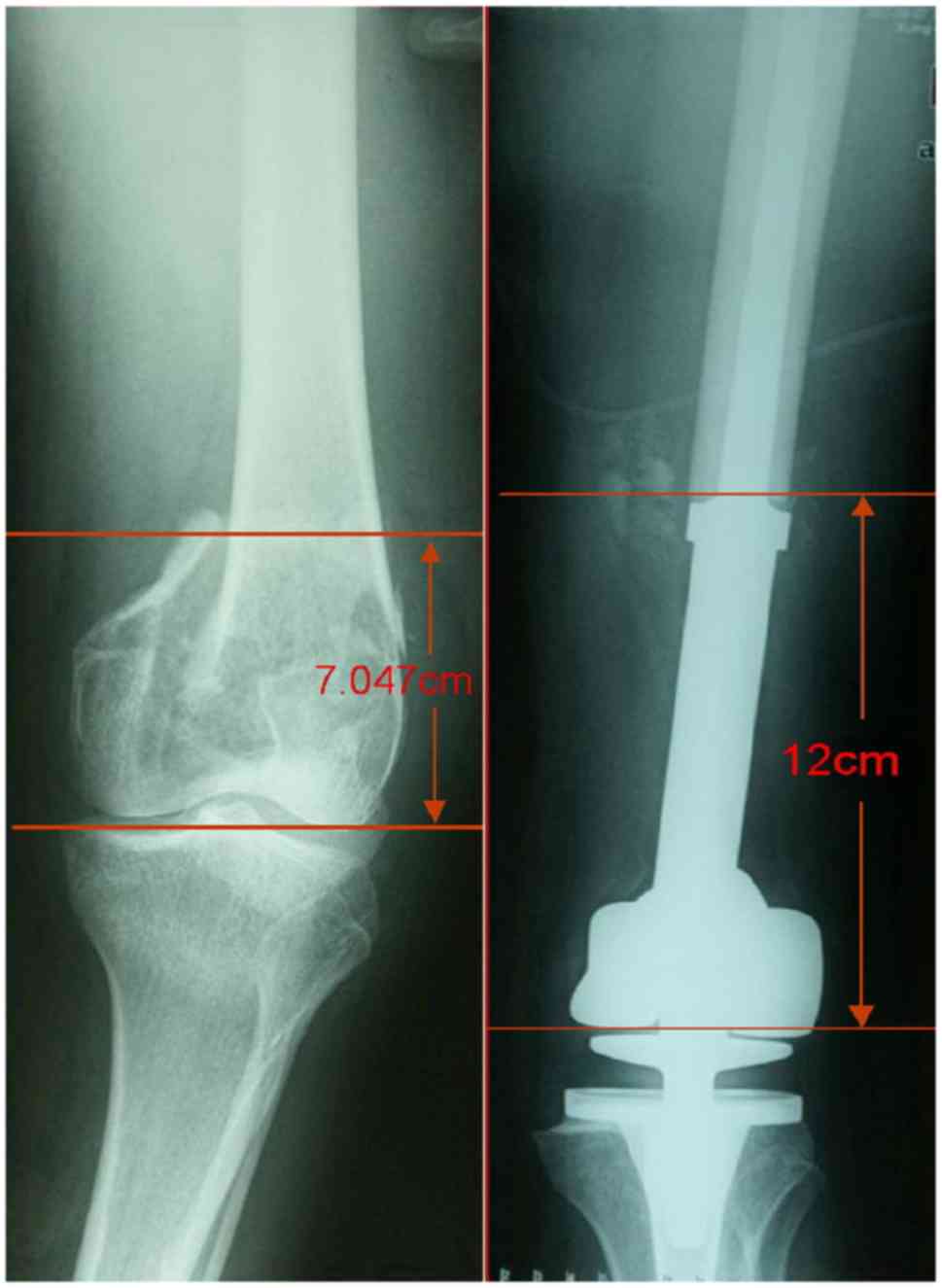
LIMB LENGTH DISCREPANCY 는 Malignant tumor resection 시에도 적용될 수 있는데 2cm 이내라면 추가적인 치료가 필요하지 않지만 2~5cm 의 경우 epiphysiodesis 가 필요하며, 5cm 이상 LLD 가 날 경우 rotationplasty, limb lengthening expendable prosthesis, staged lengthening 등을 시행할 수 있습니다.


도움이 많이 되셨길 바랍니다 :)
'총론' 카테고리의 다른 글
| 뼈가 흡수되고 있는지, 뼈가 생기고 있는지 볼 수 있는 marker (0) | 2021.01.24 |
|---|---|
| 퇴행성 관절염, 노화와 뭐가 다를까요? (0) | 2020.12.13 |
| 우리몸에도 도르래가 존재합니다! 지렛대 원리 (0) | 2020.11.23 |
| [전문] 꼭 외워야하는 항생제 매커니즘 (0) | 2020.10.06 |
| [전문] 아이의 다리가 벌어져요! '구루병' 에 대해 알아봅시다. (0) | 2020.09.17 |
댓글