여름이 되고, 마스크를 쓰고 다니면서 피부에 대한 트러블에 관심이 많아지는 것 같습니다.
흔히, 청소년때부터 겪는 여드름이 있지만 성인이 될 때까지 없어지지 않는다면 '편평사마귀' 일 가능성을
염두해 두어야 합니다.

다들, 한번씩 살면서 발바닥에 사마귀가 난 경험이 있을 수도 있는데, 이러한 것들이 모두
HPV (Human Papilloma Virus) 라고 불리우는 바이러스의 일종입니다. 이름부터 울그락 불그락 한 느낌이 들죠?


생각보다 많은 수가 감염이 되며, 감염 경로는 매우 다양합니다. 감염이 되어도 무증상인 경우가 있으며
문제는 면역이 약해지거나, 증상이 발현된 경우 입니다.
피부의 편평사마귀는 HPV 3, 10, 28, 49번 에서 주로 생깁니다. 가볍게 생각하면 피곤할 때 생기는 입술주변의 헤르페스 감염 처럼 생각해 볼 수도 있지만, 감염력이 강할 수 있기 때문에 반드시 병변이 있을 때에는 레이저 등으로 사마귀 균사를 제거해야합니다.


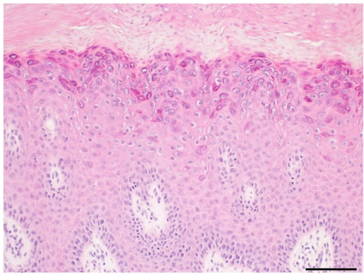
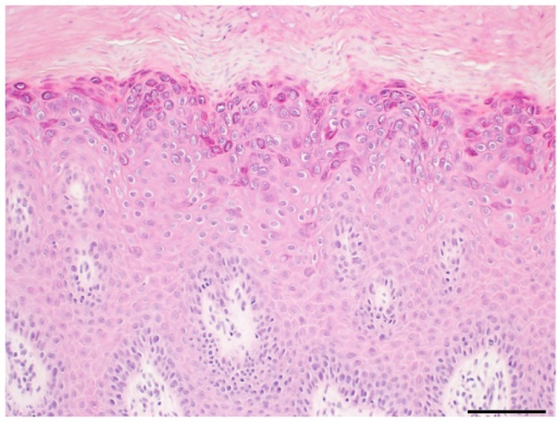
쉽게 대표적으로 보이는 편평사마귀와 좁쌀 여드름의 구분하는 방법은 편평한 융기가 있는지 확인하는 것 입니다.
좁쌀여드름은 아래와 같이 압력을 가했을 때 모공에서 피지가 분비되는 양상을 가지게 되며, 피지샘 증식증과 같은 선상의 질환입니다.


그 외에 감별해야할 피부질환으로 MCV에 감염되는 물사마귀나 큰 문제가 없는 눈가에 생기는 원인미상의 한관종, 피지 덩어리인 비립종 등이 있을 수 있습니다.


그 외 다양한 병변이 있을 수 있습니다.

본론으로 돌아와서, 편평사마귀는 말그대로 무증상이면 크게 문제가 되지 않지만 툭 튀어나온 '편사' 가 생기게 되면 외과적이나 레이저로 제거를 해서 바이러스의 추가적인 감염을 막는 것이 중요합니다.


많은 분들이 생각보다 '사마귀'를 동반자 처럼 달고 살아가는 경우가 많기 때문에 지체없이 피부과를 방문하는 것이 중요할 것 같습니다. 예전과 다르게 크게 걱정하거나 문제가 될 질병은 아니기 때문이죠. 피부의 표면에 있는 편사가 제거되어도 HPV 바이러스가 피부에 있는 상태라면 다시 재발할 수 있다는 것도 생각하고 있어야 할 것 같네요.
'보건의료' 카테고리의 다른 글
| 고데기 화상! 물집이 생기는 지 확인하세요! (0) | 2021.11.02 |
|---|---|
| 노인에서 저용량 아스피린! 피하도록 합시다. (0) | 2021.07.26 |
| 비만한 환자, 공부하는 학생, 하루종일 앉아있는 직장인들 에게 생길 수 있는 '엉덩이 종기 및 모소동' (0) | 2021.06.04 |
| 치매가 심해지기 전에 확인해야할 '치매 초기 증상' 10가지 (0) | 2021.05.24 |
| 골프하다가 쉽게 생길 수 있는 갈비뼈 골절! 휴식하세요! (0) | 2021.05.11 |
댓글