우리 몸의 뼈를 구성하는 칼슘과 인이 필수적이기 때문에, 우리의 일반적인 대사활동에서도 칼슘과 인은 빠질 수 없는 성분 입니다.
하지만 이러한 칼슘 덩어리가 원치 않는 부분에 생길 경우 여러 증상이 나타날 수 있습니다. 신장에 생기는 경우는 소변이 만들어지고 움직이는 길을 막게 되어 심한 통증과 염증을 일으킬 수도 있는 것처럼, 정형외과적으로 인대나 근육 사이에 칼슘이 침착되는 경우에는 움직임의 제한이 생기고 압력이 올라가게 되어 통증이 심하게 생길 수 있습니다.



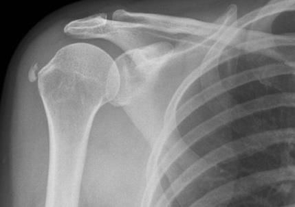
이러한 칼슘은 생기는 위치에 따라 증상이 다를 수 있는데 주로 회전근개의 부착부분에 생기기 때문에, (주로 Supraspinatus)
오구돌기 아래부분의 충돌이 있게 됩니다.


병인
주로 30~60세 여성에서 많이 생기며,
당뇨나 갑상선저하증 등의 내분비질환이 있지는 않은 지 꼭 확인을 해야합니다.
단계분류
칼슘이 바로 똑 하고 생기는 것이 아니기 때문에 질병의 진행단계는
-칼슘전기(전석회화시기) : 통증X, metaplasia 시작
-칼슘기(석회화기) : 칼슘이 형성되고, 혈관이 생기는 단계
-칼슘후기(후석회화기) : 대식구가 작용하며, 매우 통증이 심한 단계
로 나뉠 수 있습니다.
치료
가장 흔히 쓰는 NSAID를 사용해보고, 물리치료를 시행하며, 스트레칭과 스테로이드 주사를 1차적으로 생각해 볼 수 있습니다.
정확하게 칼슘이 확인되는 경우에는 ESWT (extracorporeal shock-wave therapy) 를 시행해 볼 수 있습니다. (고에너지 일수록 통증완화가 좋습니다.
흡수기인 경우에는 두개의 바늘로 lavage를 해볼 수 있으나 invasive 한 방식입니다. (바늘을 넣어 스테로이드를 주입해 볼 수도 있습니다.)
가장 확실한 치료는 관절경을 통한 수술적인 치료 입니다. 일상생활에 영향을 받을 정도로 통증이 심한 경우는 수술적 치료를 반드시 고려해보아야합니다. 이러한 수술의 핵심 개념은 '감압' 에 있습니다. 칼슘으로 압력이 올라간 관절의 압력을 낮춰줄 수 있습니다.


도움이 많이 되셨길 바랍니다 : )
'견주관절' 카테고리의 다른 글
| [전문] 근위 상완골 골절의 분류 Neer classification (0) | 2021.10.30 |
|---|---|
| 야구 선수, 운동선수 팔꿈치 척골인대파열로 재건이 필요한 경우 (1) | 2021.05.20 |
| [전문] 견관절, 쇄골 주변을 볼 수 있는 영상검사 방법 (0) | 2020.12.24 |
| [전문] 척골신경 마비와 관련있는 Guyon tunnel syndrome(low) 과 Cubital tunnel syndrome(high) (0) | 2020.12.20 |
| [전문] 날개뼈의 움직임을 확인해보고 분류해볼 수 있습니다. (Scapula Dyskinesis) (0) | 2020.12.20 |
댓글