근육운동을 하는 분들이 대부분 가슴, 어깨, 등, 하체 운동을 하지만 대부분 등운동은 뒤어깨운동을 하는 경우가 많습니다. Latissimus dorsi 나 teres minor가 자극되는 경우가 많습니다. 하지만 등운동을 하기 위해선 허리폄근을 같이 운동을 해주어야 합니다.
흔히 Core muscle이라고 하면 몸 앞쪽의 큰 근육들만을 생각할 수 잇는데 (복부의 rectus abdominus muscle 과 pectoralis muscle) 이 외에도 요추와 연결되어 있는 (혹은 골반과) 척추 깊숙이 있는 얇고 긴 근육들을 core muscle로 부를 수 있습니다.

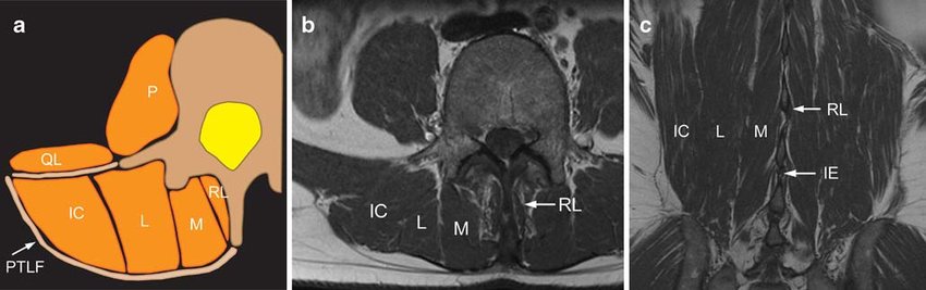
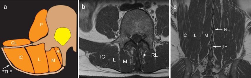
바로 longissimus와 multifidus, iliocostalis, spinalis 입니다. 앞의 3개의 근육은 허리를 펴는 역할을 하기 때문에 Erector spinae 라는 명칭으로 불립니다.

이러한 척추기립근 과 척추의 근육들이 중요한 것은 중력을 받는 일상적인 생활에서나, 앉거나 서는 자세를 취할 때 핵심적인 역할을 하기 때문입니다. 근육의 힘이 유지가 되어야 골의 변형을 막을 수 있습니다.


Axial view 에서 보게 되면 Psoas muscle과 Quadratus lumborum 뒤쪽으로 위치하는 허리폄근을 확인할 수 있습니다.


디스크로 허리통증이 있는 분이라면 이 근육이 약해지지 않도록 꼭 운동을 할 때 꼭 같이 자극받을 수 있도록 운동해야합니다.

도움이 많이 되셨길 바랍니다.
'해부학' 카테고리의 다른 글
| 전완부의 회내전, 회외전 muscle 4가지 (0) | 2021.01.25 |
|---|---|
| [전문] 하지의 각변형 및 회전변형을 평가하기 위해선 관절의 정상 각도를 이해해야합니다. (0) | 2021.01.05 |
| [전문] 상완골골절 및 전완부 폄근과 관련이 있는 '요골 신경(radial nerve)' 주행을 꼭 주의해야합니다. (0) | 2020.12.16 |
| [전문] 골반 신경해부학 pelvic nerve anatomy (0) | 2020.12.08 |
| [전문] 굽힘과 폄근의 복합적 작용! 수부 해부학 Hand anatomy (0) | 2020.11.28 |
댓글